Đồi mồi ở cổ, tay, chân thường xuất hiện khi bạn già đi. Chúng là những đốm nâu sẫm màu hình thành do sự tích tụ melanin qua nhiều năm. Tình trạng này không gây hại sức khỏe nhưng nó cho thấy sự già nua vì loại đốm này không có ở người trẻ tuổi. Đồi mồi trên cổ hình thành như thế nào, phòng ngừa hoặc chữa trị ra sao, mời bạn cùng ECO Pharma tìm hiểu chi tiết trong bài viết sau đây.

Đồi mồi ở cổ hình thành do tiếp xúc với nắng mặt trời trong nhiều năm. Khi tiếp xúc lâu dài với ánh nắng mà không được che chắn, cơ thể sẽ tăng cường sản sinh melanin để bảo vệ da khỏi tổn thương do tia UV. Sự tích tụ quá mức melanin sẽ tạo ra các đốm sẫm màu trên bề mặt da là đồi mồi.
Không chỉ ánh nắng tự nhiên, nguồn tia UV nhân tạo từ giường tắm nắng hoặc đèn chiếu tia cực tím cũng có thể đẩy nhanh quá trình này. Các thiết bị này phát ra tia UV tập trung, xuyên sâu vào da và kích thích tăng sinh sắc tố. Ngay cả khi tiếp xúc trong thời gian ngắn, việc lặp lại thường xuyên vẫn có thể làm da cổ xuất hiện đồi mồi sớm hơn.
Bên cạnh đó, yếu tố di truyền cũng ảnh hưởng đến nguy cơ hình thành đồi mồi. Một số người có cơ địa dễ tăng sắc tố hoặc khả năng tự bảo vệ da trước tia UV kém, khiến hiện tượng này xuất hiện ngay cả khi họ ít tiếp xúc với nắng.
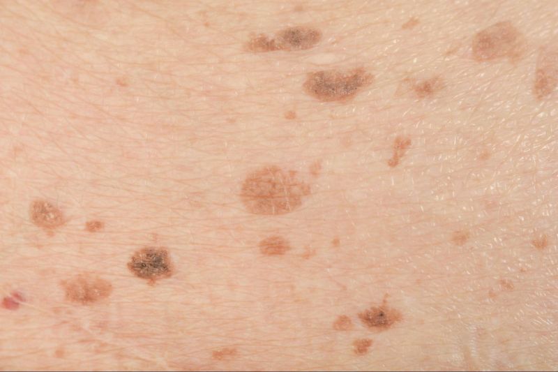
Đồi mồi trên cổ thường xuất hiện dưới dạng mảng phẳng, hình tròn hoặc bầu dục, có màu từ nâu nhạt đến nâu sẫm. Chúng có thể xuất hiện rải rác hoặc tập trung thành mảng lớn quanh vùng cổ. Kích thước một nốt đồi mồi từ một chấm nhỏ như nốt tàn nhang cho đến khoảng 13mm. (1)
Điểm đặc trưng là các đốm này là chỉ xuất hiện khi tuổi cao, thường đi kèm với các tình trạng lão hóa da khác như nếp nhăn và chảy xệ, giảm sắc tố dạng giọt tự phát (các mảng màu trắng hoặc xám trông góc cạnh hoặc tròn) và giãn mao mạch. Chúng không tự biến mất mà thường đậm màu dần theo thời gian; không gây hại sức khỏe nhưng làm cho chúng ta trông già nua hơn.

=> Xem thêm: Bị đồi mồi ở chân: Bạn cần biết điều gì?
Tình trạng đốm sắc tố trên cổ thường không thể tự biến mất nếu không có sự can thiệp phù hợp. Dưới đây là những phương pháp chữa trị an toàn và hiệu quả nhất hiện nay.
Đây là phương pháp mang lại hiệu quả cao, được đánh giá là an toàn nhất hiện nay. Tia laser với bước sóng phù hợp sẽ phá vỡ các hắc sắc tố melanin mà không làm tổn thương vùng da xung quanh. Sau vài buổi trị liệu, các đốm nâu bong dần, da cổ trở nên đều màu hơn. Một số trường hợp có thể xuất hiện tình trạng da sẫm màu hoặc đóng vảy tạm thời, nhưng hiện tượng này thường biến mất sau vài ngày.
Phương pháp này sử dụng các dung dịch axit nhẹ (như axit glycolic, axit salicylic TCA nồng độ thấp) để loại bỏ lớp da sừng già cỗi, kích thích tái tạo tế bào mới và làm sáng bề mặt da. Khi được thực hiện đúng kỹ thuật tại phòng khám chuyên khoa, tẩy da hóa học thường là phương pháp an toàn để cải thiện sắc tố da rõ rệt mà không cần thời gian nghỉ dưỡng kéo dài.
Các hoạt chất như hydroquinone, tretinoin, vitamin C, axit Kojic hoặc axit tranexamic sẽ ức chế sản sinh melanin để làm mờ các đốm đồi mồi. Đây là các sản phẩm kê đơn và cần theo dõi trong suốt quá trình sử dụng. Liệu trình với các sản phẩm như vậy thường kéo dài trong 8 – 12 tuần và cần kết hợp chống nắng kỹ với kem chống nắng SPF 50+.
Kỹ thuật này sử dụng nitơ lỏng chấm trực tiếp lên đốm đồi mồi trong vài giây để phá hủy sắc tố bất thường. Khi da hồi phục, vùng điều trị thường sáng màu hơn. Tuy nhiên liệu pháp đông lạnh có nguy cơ gây sẹo hoặc các mảng da sẫm màu hơn cao so với laser hoặc peel da nếu thực hiện không đúng cách.

Sau bất kỳ điều trị nào nguy cơ tái phát đồi mồi vẫn có thể xảy ra. Nhưng nếu chăm sóc và bảo vệ da tốt, bạn có thể phòng ngừa được nguy cơ này.
Trước hết bảo vệ da khỏi ánh nắng mặt trời là bước bắt buộc. Hãy sử dụng kem chống nắng phổ rộng SPF 50+, thoa đều 10 – 30 phút trước khi ra ngoài và bôi lại sau mỗi 2 giờ khi hoạt động dưới nắng. Kết hợp che chắn bằng mũ rộng vành, áo có cổ hoặc khăn choàng để bảo vệ tối đa vùng cổ.
Song song đó, bạn cần duy trì thói quen chăm sóc da khoa học để quá trình phục hồi tốt cũng như hạn chế hình thành sắc tố mới. Bạn nên dùng các sản phẩm thoa ngoài chứa vitamin C, vitamin E để trung hòa gốc tự do và hỗ trợ làm sáng da; có thể tẩy tế bào chết nhẹ bằng AHA nồng độ thấp một đến hai lần mỗi tuần để kích thích tái tạo tế bào, ngăn melanin tích tụ gây tăng sắc tố da.
Bên cạnh chăm sóc bên ngoài, bạn nên nuôi dưỡng da từ bên trong bằng cách bổ sung các tinh chất hỗ trợ da nguồn gốc thiên nhiên là L-Glutathione, Sakura, Pomegranate, White Peony, P. leucotomos và Collagen Peptide. Chúng đã được chứng minh có tác dụng hỗ trợ làm mờ sạm nám, cải thiện độ đàn hồi và tăng cường sức khỏe làn da. Không chỉ tốt cho những người muốn ngăn ngừa đồi mồi tái phát sau điều trị mà còn tốt cho những người trẻ tuổi muốn phòng ngừa các tình trạng tăng sắc tố khác khi tuổi tác tăng dần.
Tóm lại ai cũng có thể có những đốm đồi mồi ở cổ khi về già. Chúng hoàn toàn vô hại và bạn có thể chung sống với chúng suốt phần đời còn lại. Nhưng nếu cảm thấy các đốm sắc tố này làm cho bạn trông già đi và muốn chúng biến mất, có một số phương pháp điều trị sắc tố hiện đại có thể giúp bạn. Hãy tìm đến các cơ sở y tế uy tín và đừng quên luôn duy trì thói quen chống nắng để ngăn đốm nâu tái phát sau khi đã điều trị khỏi.