Xơ vữa động mạch là một trong những nguyên nhân hàng đầu gây ra các bệnh tim mạch, chiếm tới 50% số ca tử vong ở các nước phương Tây. (1) Cùng ECO Pharma tìm hiểu thế nào là xơ vữa động mạch, dấu hiệu xơ vữa mạch máu và cách chẩn đoán bệnh xơ vữa động mạch ngay sau đây.

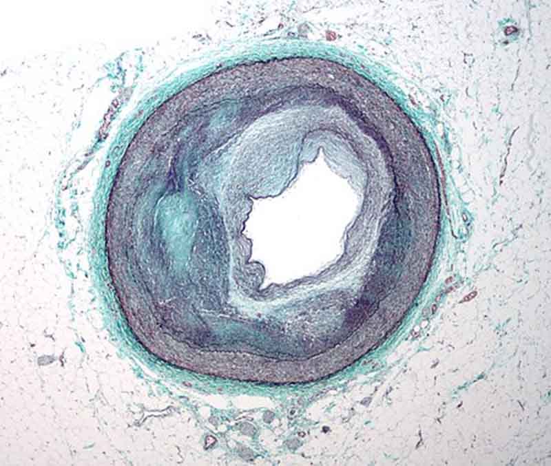
Xơ vữa động mạch (tiếng Anh là atherosclerosis) là sự tích tụ của chất béo, cholesterol, canxi và các chất khác trong, trên thành động mạch. Sự tích tụ này được gọi là mảng xơ vữa. Mảng xơ vữa có thể làm hẹp động mạch, cản trở lưu lượng máu. Mảng xơ vữa cũng có thể vỡ ra, dẫn đến hình thành cục máu đông.
Xơ vữa động mạch là một bệnh tim mạch cần được phát hiện và điều trị sớm vì có thể gây ra biến chứng nguy hiểm. Chẳng hạn, hẹp hoặc tắc nghẽn ở động mạch vành khiến dòng máu chảy về tim bị suy giảm, dẫn đến các cơn đau thắt ngực, nhồi máu cơ tim cấp.
Quá trình hình thành các mảng xơ vữa động mạch diễn ra từ từ trong nhiều năm theo trình tự. (2)
Sự hình thành mảng xơ vữa động mạch được chia thành ba giai đoạn chính:



Xơ vữa động mạch là một quá trình phức tạp, bắt đầu từ thời thơ ấu và tiến triển theo độ tuổi. Hiện không rõ chính xác xơ vữa động mạch bắt đầu như thế nào hoặc nguyên nhân gây ra bệnh. Tuy nhiên, sự tích tụ dần dần của mảng bám hoặc dày lên do viêm xảy ra ở bên trong thành động mạch dẫn đến hẹp lòng mạch, làm giảm lưu lượng máu, nguồn cung cấp oxy đến các cơ quan trọng yếu của cơ thể và các chi. (3)
Các yếu tố nguy cơ gây xơ vữa động mạch bao gồm:
Xơ vữa động mạch triệu chứng gì? Xơ vữa động mạch thường tiến triển âm thầm, các triệu chứng có thể xuất hiện từ từ và không rõ ràng trong giai đoạn đầu khi mảng xơ vữa dần hình thành trong lòng động mạch. Triệu chứng cũng khác nhau tùy thuộc vào động mạch bị ảnh hưởng.
Động mạch vành là hệ thống mạch máu cung cấp máu giàu oxy nuôi dưỡng cơ tim. Xơ vữa động mạch vành có thể dẫn đến thiếu máu cơ tim, suy tim và nhồi máu cơ tim. Các biểu hiện thường gặp bao gồm:
Động mạch cảnh là mạch máu chính cung cấp máu cho tuần hoàn não. Xơ vữa động mạch cảnh có thể dẫn đến hẹp lòng mạch, làm giảm lưu lượng máu đến não và gây ra các biến chứng nguy hiểm, trong đó có nhồi máu não (đột quỵ não).
Nhiều trường hợp xơ vữa động mạch cảnh không có triệu chứng rõ ràng cho đến khi xảy ra tai biến mạch máu não. Tuy nhiên, một số dấu hiệu sớm của đột quỵ não có thể bao gồm:
Xơ vữa động mạch chi dưới có thể dẫn đến bệnh động mạch chi dưới (PAD). Các triệu chứng thường gặp bao gồm:

Nếu bạn nghi ngờ bị xơ vữa động mạch, hãy đến bệnh viện thăm khám ngay. Việc chẩn đoán và điều trị sớm có thể ngăn chặn bệnh tiến triển nặng hơn. Điều trị sớm có thể giúp phòng ngừa nhồi máu cơ tim, đột quỵ hoặc các tình huống cấp cứu y tế khác. Người bệnh hãy gọi điện ngay cho số cấp cứu 115, hoặc cấp cứu của Hệ thống Bệnh viện Đa khoa Tâm Anh 028 7102 6789 – 093 180 6858 nếu bị đau ngực, có các triệu chứng của cơn thiếu máu não thoáng qua (TIA) hoặc đột quỵ, chẳng hạn như:
Xơ vữa động mạch cản trở hoạt động bình thường của hệ thống tim mạch. Nó có thể hạn chế hoặc ngăn chặn lưu lượng máu đến các bộ phận khác nhau của cơ thể, bao gồm cả tim và não. Các biến chứng có thể xảy ra do lưu lượng máu giảm bao gồm: (4)
Các biện pháp xét nghiệm và chẩn đoán bệnh xơ vữa mạch máu bao gồm:

Điều trị xơ vữa động mạch giúp làm chậm sự tiến triển của bệnh, giảm nguy cơ biến chứng và cải thiện chất lượng sống của người bệnh. Các biện pháp điều trị có thể bao gồm dùng thuốc và phẫu thuật.
Thuốc sử dụng để điều trị xơ vữa động mạch gồm:
Đây là một thủ thuật xâm lấn tối thiểu, trong đó một ống thông nhỏ (catheter) được đưa vào động mạch vành. Tại vị trí hẹp, bóng nong được bơm lên để mở rộng lòng mạch, sau đó stent (một khung lưới kim loại) được đặt vào để giữ cho lòng mạch luôn thông thoáng.
Có nhiều kỹ thuật nong mạch và đặt stent khác nhau như nong bóng thường, nong bóng phủ thuốc, cắt mảng xơ vữa bằng dụng cụ cắt (atherectomy), laser…
Trung tâm Tim mạch Can thiệp của Hệ thống Bệnh viện Đa khoa Tâm Anh thực hiện thủ thuật thông tim can thiệp cho các trường hợp tắc hẹp động mạch, nhồi máu cơ tim cấp, bệnh mạch máu ngoại biên, bệnh tim bẩm sinh, loạn nhịp tim,… bằng các kỹ thuật, công nghệ hiện đại hàng đầu hiện nay.
Đội ngũ y bác sĩ là chuyên gia đầu ngành, được đào tạo chuyên sâu về phẫu thuật tim, lồng ngực, các kỹ thuật can thiệp mạch máu hiện đại. BS.CKII. Huỳnh Ngọc Long là một trong ba bác sĩ Việt Nam đầu tiên được cử đi đào tạo kỹ thuật thông tim can thiệp tại Bệnh viện Broussais & HEGP ở Pháp. Ông có hơn 32 năm kinh nghiệm trong thăm khám và điều trị các bệnh lý về chuyên khoa Tim mạch Can thiệp, thực hiện thành công trên 10.000 ca thông tim, đảm nhận vai trò giảng dạy, đào tạo trực tiếp cho nhiều bác sĩ và xây dựng khoa thông tim từ khi sơ khai cho đến khi vững mạnh cho 23 bệnh viện trong cả nước.
TTND.GS.TS.BS Võ Thành Nhân có hơn 40 năm công tác, giảng dạy trong lĩnh vực Tim mạch, chuyên gia đầu tiên của Việt Nam về kỹ thuật Cấy van động mạch chủ qua ống thông (TAVI). Ông còn tham gia thực hiện các bài nghiên cứu, công trình khoa học chuyên sâu, biên soạn sách giáo khoa và viết báo.
Trung tâm Tim mạch Can thiệp của Hệ thống Bệnh viện Đa khoa Tâm Anh được đầu tư máy móc, công nghệ hiện đại, trang thiết bị tiên tiến như hệ thống chụp mạch can thiệp số hóa xóa nền (DSA) Philips Azurion Robotic Ceiling FlexArm treo trần với cánh tay robot có thể xoay 360 độ; hệ thống siêu âm lòng mạch IVUS; máy chụp MSCT mạch vành 768 lát cắt Siemens Somatom Drive; chụp cắt lớp kết quang nội mạch (OCT),… Nhờ đó, giúp các bác sĩ có thể rút ngắn thời gian can thiệp, thực hiện kỹ thuật đặt stent có kích thước khổng lồ lên đến 4mm – 5mm, giảm nguy cơ hẹp trong stent, mang đến tiên lượng tốt cho người bệnh.

Bao gồm phẫu thuật cắt bỏ mảng xơ vữa, phẫu thuật cắt bỏ nội mạc động mạch cảnh, phẫu thuật bắc cầu động mạch vành (CABG), phẫu thuật bắc cầu động mạch ngoại biên, phẫu thuật bắc cầu bệnh lý mạch máu.
Có thể ngăn ngừa xơ vữa động mạch bằng cách thay đổi lối sống. Những biện pháp thường được khuyến nghị gồm:
Bạn nên ăn các thực phẩm ít chất béo bão hòa, chất béo chuyển hóa, cholesterol. Chúng thường là thịt đỏ, mỡ động vật, lòng đỏ trứng, thực phẩm chế biến sẵn, đồ ăn nhanh, đồ uống có đường. Các thực phẩm nhiều đường và muối cũng nên hạn chế.
Các loại thực phẩm giàu chất xơ (rau xanh, trái cây, ngũ cốc nguyên hạt), chất béo không bão hòa (dầu ô liu, dầu cá), và protein nạc (thịt gia cầm bỏ da, cá) nên được ưu tiên.
Vận động thể chất thường xuyên, ít nhất 30 phút mỗi ngày hầu hết các ngày trong tuần. Lựa chọn các hình thức vận động phù hợp với sức khỏe và sở thích của bản thân như đi bộ, chạy bộ, bơi lội, đạp xe.
Nam giới không nên uống quá hai ly rượu mỗi ngày, phụ nữ không uống quá một ly mỗi ngày. Không hút thuốc lá hoặc tránh khói thuốc lá vì đây là một trong những yếu tố tăng nguy cơ mắc bệnh xơ vữa động mạch.
Khám sức khỏe tổng quát định kỳ để phát hiện sớm các yếu tố nguy cơ như tăng huyết áp, tăng cholesterol máu, tiểu đường, cholesterol cao. Thực hiện các xét nghiệm cần thiết theo chỉ định của bác sĩ.

Bên cạnh câu hỏi xơ vữa động mạch là bệnh gì, thế nào là xơ vữa động mạch thì dưới đây là một số thắc mắc thường gặp được nhiều người quan tâm:
Xơ vữa động mạch là một bệnh lý nguy hiểm, có thể gây ra phình động mạch hoặc hẹp tắc mạch máu dẫn đến nhồi máu cơ tim, đột quỵ. Các biến chứng của sự tích tụ mảng xơ vữa (nhồi máu cơ tim và đột quỵ) là nguyên nhân gây tử vong hàng đầu trên toàn thế giới. Đây còn là nguyên nhân thường gặp dẫn đến bệnh tim. Theo Viện Y tế Quốc gia Mỹ, khoảng một nửa số người từ 45 tuổi – 84 tuổi mắc chứng xơ vữa động mạch nhưng không nhận thức được điều đó.
Xơ vữa động mạch là một bệnh lý mãn tính, tiến triển chậm theo thời gian. Hiện tại không có phương pháp điều trị nào để đảo ngược tình trạng xơ vữa động mạch, nhưng bác sĩ có thể kê đơn thuốc để giảm nguy cơ nhồi máu tim hoặc đột quỵ. Gần đây, một số nghiên cứu cho thấy có thể đảo ngược hoặc chữa khỏi chứng xơ vữa động mạch, đặc biệt là ở giai đoạn đầu. (5)
Thay đổi lối sống, sử dụng thuốc theo chỉ định của bác sĩ và trong một số trường hợp có thể cần đến các thủ thuật can thiệp hoặc phẫu thuật để tái thông mạch máu bị tắc nghẽn.
Những người có yếu tố nguy cơ cao sau cần phải đi khám sức khỏe 1 lần – 2 lần/năm, thực hiện kiểm tra tầm soát nguy cơ xơ vữa động mạch và bệnh tim mạch, cụ thể:
Chi phí điều trị xơ vữa động mạch có thể cao, đặc biệt là khi bệnh đã tiến triển nặng và cần các can thiệp phức tạp như phẫu thuật để đặt stent. Tuy nhiên, tùy thuộc vào mức độ nghiêm trọng của bệnh, vị trí động mạch bị ảnh hưởng, phương pháp điều trị được sử dụng và cơ sở y tế mà giá khám, điều trị bệnh sẽ khác nhau.
Xơ vữa động mạch là bệnh lý phổ biến trên toàn thế giới, có thể dẫn đến nhiều biến chứng nghiêm trọng nếu không được phát hiện và điều trị. Do đó, mỗi người cần chủ động xây dựng chế độ ăn uống khoa học, tập luyện thể dục đều đặn, hạn chế rượu bia và thuốc lá, đồng thời kiểm tra sức khỏe định kỳ để phát hiện sớm các yếu tố nguy cơ và có biện pháp can thiệp kịp thời. Ngoài ra, bạn cũng có thể bổ sung thêm các tinh chất quý hỗ trợ cải thiện tình trạng rối loạn mỡ máu, ngăn ngừa xơ vữa động mạch và hình thành cục máu đông, phòng ngừa bệnh tim mạch như Policosanol (GDL-5), Red Yeast Rice, Gynostemma, Apple Cider Vinegar.