Viêm cột sống dính khớp gây tổn thương cấu trúc, làm suy giảm chức năng vận động của cột sống và khớp cùng chậu. Chẩn đoán hình ảnh viêm cột sống dính khớp là một yếu tố quan trọng trong điều trị. Thông qua hình ảnh viêm cột sống dính khớp, bác sĩ sẽ đánh giá chính xác mức độ tổn thương khớp theo từng giai đoạn. Cùng ECO Pharma phân tích rõ vai trò và giá trị của các kỹ thuật chẩn đoán hình ảnh viêm cột sống dính khớp ở bài viết sau.

Viêm cột sống dính khớp (VCSDK), hay viêm cột sống trục (axSpA) là một bệnh lý viêm khớp mạn tính thuộc nhóm bệnh lý cột sống huyết thanh âm tính. Đây là bệnh lý tự miễn do sự nhầm lẫn của hệ thống miễn dịch tấn công nhầm vào các mô khớp và gân. Quá trình viêm dẫn đến sự hình thành các tân mạch, tăng sinh tế bào xương và cuối cùng là quá trình dính khớp, làm giảm tính linh hoạt của cột sống.
Bệnh đặc trưng bởi tình trạng viêm tại các khớp cột sống, khớp cùng chậu và các điểm bám gân, dẫn đến tổn thương cấu trúc, giảm chức năng vận động và ảnh hưởng chất lượng sống của người bệnh. Các triệu chứng lâm sàng bao gồm đau lưng dưới kiểu viêm, cứng khớp buổi sáng, hạn chế vận động cột sống, viêm khớp ngoại vi, viêm điểm bám gân và các biểu hiện ngoài khớp như viêm mống mắt, viêm ruột, bệnh vảy nến. Viêm cột sống dính khớp có thể dẫn đến hạn chế vận động cột sống, gù cột sống, loãng xương, tăng nguy cơ gãy xương, viêm mống mắt và bệnh tim mạch nếu không được điều trị kịp thời. (1)
Ước tính có khoảng 1% – 1.4% dân số mắc bệnh viêm cột sống dính khớp, thường khởi phát ở độ tuổi trẻ, khoảng từ 20 tuổi – 40 tuổi. Trong đó, nam giới có tỷ lệ mắc bệnh cao hơn nữ giới gấp 2 – 3 lần (2). Viêm cột sống dính khớp có thể phát triển từ rất sớm nhưng lại tiến triển chậm, theo thời gian có thể làm dính cứng khớp và đốt sống dẫn đến tàn phế nếu không được điều trị kịp thời. Yếu tố di truyền đóng vai trò quan trọng trong cơ chế bệnh sinh, đặc biệt là kháng nguyên HLA-B27. (3)
Xem thêm: Viêm cột sống dính khớp có di truyền không?
Chẩn đoán viêm cột sống dính khớp thường kết hợp giữa triệu chứng lâm sàng, xét nghiệm sinh hóa và chẩn đoán hình ảnh. Xét nghiệm HLA-B27 có giá trị hỗ trợ chẩn đoán, trong khi xét hình ảnh viêm cột sống dính khớp (X-quang, MRI và CT scan) giúp phát hiện viêm khớp cùng chậu, dính khớp cột sống và tổn thương xương. Các xét nghiệm máu như ESR và CRP giúp đo mức độ viêm trong cơ thể. Mục tiêu điều trị là giảm đau, giảm viêm, duy trì chức năng vận động và ngăn ngừa biến chứng.

Chẩn đoán hình ảnh giúp phát hiện các tổn thương cấu trúc và viêm tại cột sống và khớp cùng chậu. Dưới đây là các phương pháp chẩn đoán hình ảnh chính được sử dụng:
Chụp X-quang sử dụng tia X, một loại bức xạ điện từ không nhìn thấy được để tạo ra hình ảnh các mô bên trong, xương và cơ quan trên phim hoặc phương tiện kỹ thuật số.
Máy X-quang phát ra một chùm tia X, đi qua cơ thể người bệnh. Tia X đi qua cơ thể sẽ tác động lên phim hoặc phương tiện kỹ thuật số, tạo ra hình ảnh. Hình ảnh thu được là hình ảnh “âm bản”, nghĩa là các cấu trúc càng rắn chắc (như xương) thì càng có màu trắng và các mô mềm (như máu, da, mỡ, cơ) thì có màu xám đen. Không khí hấp thụ tia X ít nhất, hiển thị màu đen.
Chụp X-quang là phương pháp chẩn đoán hình ảnh viêm cột sống dính khớp được thực hiện đầu tiên giúp phát hiện các dấu hiệu viêm khớp cùng chậu, dính khớp cột sống và các thay đổi xương khác:
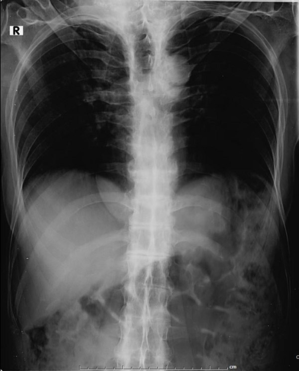
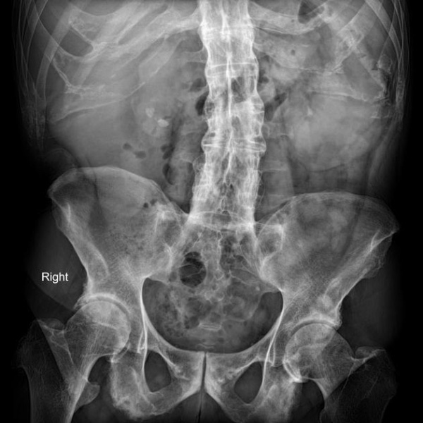
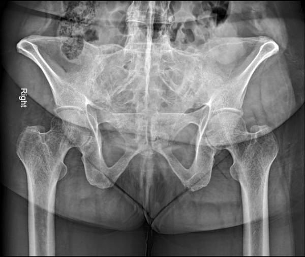
Hình ảnh X-quang viêm cột sống dính khớp có thể cho thấy các dấu hiệu như xói mòn xương, hình vuông hóa đốt sống, cầu xương (syndesmophytes) và dính khớp. Tuy nhiên, cần lưu ý rằng X-quang có độ nhạy hạn chế trong giai đoạn sớm của bệnh, khi các tổn thương viêm chưa gây ra thay đổi cấu trúc xương rõ ràng.

Chụp cắt lớp vi tính (CT) sử dụng kết hợp tia X và công nghệ máy vi tính để tạo ra hình ảnh chi tiết về cấu trúc bên trong cơ thể. Khác với chụp X-quang chỉ tạo ra hình ảnh hai chiều, chụp CT khớp có thể chụp ảnh không chỉ cấu trúc xương mà còn cả các mô mềm như gân, dây chằng, cơ và mạch máu. Điều này cho phép phân tích toàn diện tình trạng của khớp đang được kiểm tra, bao gồm cả tổn thương sụn.
Trong quá trình chụp CT, một chùm tia X hẹp được phát ra từ máy quét và di chuyển xoay tròn xung quanh cơ thể. Các cảm biến sẽ ghi nhận lượng tia X được hấp thụ bởi các mô khác nhau, từ đó tạo ra hình ảnh chi tiết về cấu trúc bên trong. Thông tin này sau đó được xử lý bởi máy vi tính để tạo ra hình ảnh hai chiều hoặc ba chiều, giúp bác sĩ có cái nhìn trực quan về cấu trúc khớp.
Chụp cắt lớp vi tính các khớp có thể hỗ trợ phát hiện các bệnh lý bao gồm:
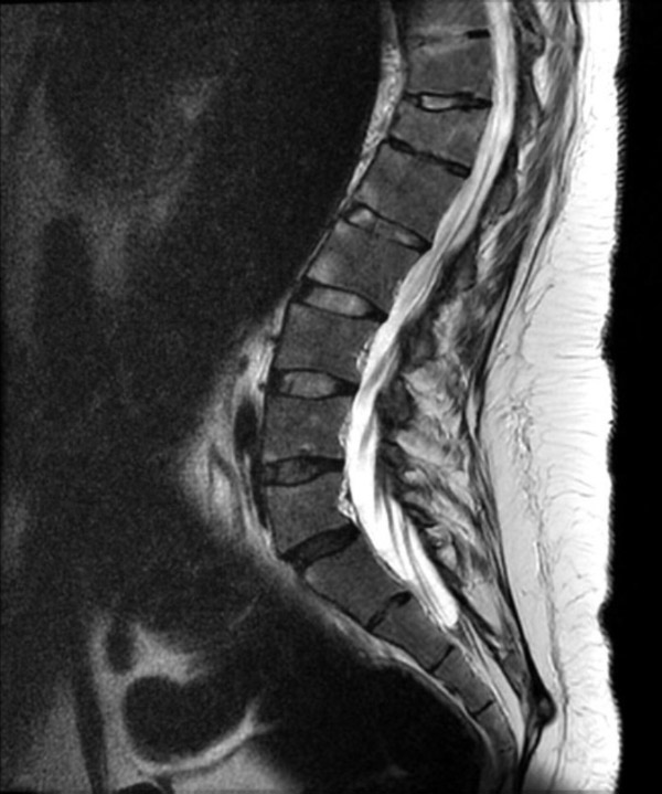
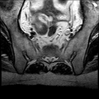
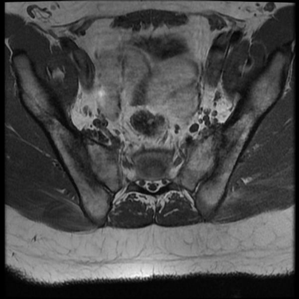
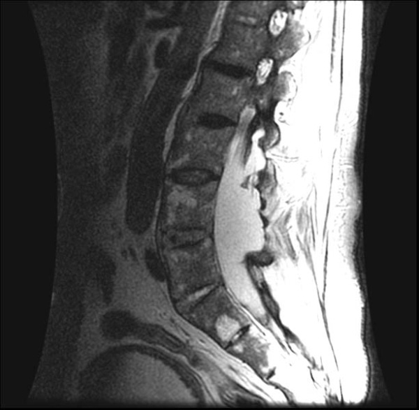
Chụp cộng hưởng từ (MRI) là kỹ thuật chẩn đoán hình ảnh không xâm lấn, cho phép tạo ra hình ảnh chi tiết các cấu trúc bên trong cơ thể, bao gồm các cơ quan, xương, cơ và mạch máu. Máy MRI là một thiết bị lớn, hình trụ, sử dụng từ trường mạnh và sóng radio để tạo ra hình ảnh, không sử dụng bức xạ ion hóa như chụp X-quang.
Từ trường này khiến các nguyên tử trong cơ thể sắp xếp theo cùng một hướng. Sau đó, máy phát ra các xung sóng radio, làm thay đổi hướng của các nguyên tử này. Khi sóng radio tắt, các nguyên tử trở về vị trí ban đầu và phát ra tín hiệu radio. Các tín hiệu này được máy vi tính xử lý để tạo ra hình ảnh chi tiết của bộ phận cơ thể cần khảo sát. Hình ảnh này được hiển thị trên màn hình để bác sĩ quan sát và phân tích.
Chụp MRI có thể được sử dụng để chẩn đoán các vấn đề về khớp, gồm:

Sau đây là một số hình ảnh viêm cột sống dính khớp trên X-quang:















Người bệnh cần lưu ý một số vấn đề sau trước khi thực hiện chụp chẩn đoán hình ảnh viêm cột sống dính khớp:
Bài liên quan: Viêm cột sống dính khớp có chữa khỏi được không?
Trong khi các bệnh lý tim mạch là nguyên nhân gây tử vong hàng đầu thì bệnh lý cơ xương khớp lại là một nguyên nhân đứng đầu dẫn đến tàn phế. Số ca mắc các bệnh lý xương khớp ngày càng cao và xu hướng ngày càng trẻ hóa. Việt Nam được xếp vào nhóm những quốc gia có tỷ lệ mắc bệnh xương khớp cao nhất thế giới, với thoái hóa khớp ảnh hưởng đến khoảng 30% người trên 35 tuổi, 60% người trên 65 tuổi và 85% người trên 80 tuổi.
Chủ động đi thăm khám, chẩn đoán các bệnh lý xương khớp định kỳ hoặc khi gặp triệu chứng liên quan đến bệnh lý viêm khớp cột sống dính khớp như đau thắt lưng, cứng cột sống vào buổi sáng,… là điều quan trọng, giúp giảm thiểu nguy cơ tàn phế. Nếu bạn có nhu cầu tìm kiếm địa chỉ thăm khám hình ảnh viêm cột sống dính khớp uy tín, có thể lựa chọn khoa Cơ xương khớp – Bệnh viện Đa khoa Tâm Anh.
Khoa Cơ xương khớp – Bệnh viện Đa khoa Tâm Anh là địa chỉ có năng lực chẩn đoán hình ảnh viêm cột sống dính khớp chính xác, uy tín nhờ hệ thống máy móc, thiết bị tân tiến như hệ thống chụp CT 768 lát cắt Somatom Drive (Siemens – Đức), hệ thống cộng hưởng từ thế hệ mới MAGNETOM Amira BioMatrix (Siemens – Đức), hệ thống X-quang treo trần DigiRAD-FP (Hàn Quốc), máy đo loãng xương bằng tia X Horizon W (Hologic – Mỹ).
Bệnh viện Đa khoa Tâm Anh còn đầu tư hệ thống xét nghiệm tích hợp cobas pro đầu tiên tại Đông Nam Á, cho phép thực hiện đến 2.200 xét nghiệm/giờ. Điều này giúp rút ngắn thời gian trả kết quả cho bác sĩ và bệnh nhân, từ đó đưa ra phác đồ điều trị nhanh chóng.
Khoa Cơ xương khớp – Bệnh viện Đa khoa Tâm Anh còn có đội ngũ y bác sĩ, chuyên gia đầu ngành, chuyên môn cao, giàu kinh nghiệm thực tiễn. Các bác sĩ Tâm Anh được thường xuyên cập nhật các phương pháp chẩn đoán và hướng điều trị mới, hiện đại hàng đầu thế giới để nâng cao chất lượng khám chữa bệnh.
Ngoài ra, với lợi thế thuộc bệnh viện Đa khoa, khoa Cơ xương khớp BVĐK Tâm Anh có sự phối hợp chặt chẽ với các chuyên khoa khác, mang đến phương pháp điều trị toàn diện, hiệu quả cao. Tâm Anh còn ứng dụng quy trình thăm khám đơn giản, nhanh chóng và hướng dẫn các liệu pháp hỗ trợ có thể tự tập luyện tại nhà để mau chóng phục hồi.

Thông tin liên hệ Khoa Cơ xương khớp – Hệ thống Bệnh viện Đa khoa Tâm Anh:
Hà Nội:
Hồ Chí Minh
BVĐK Tâm Anh Tân Bình:
BVĐK Tâm Anh Quận 7:
Hình ảnh viêm cột sống dính khớp có thể được quan sát trực tiếp hoặc thông qua các phương pháp chẩn đoán hình ảnh như X-quang, MRI, CT. Các hình ảnh này đóng vai trò quan trọng trong việc xác định nguyên nhân và xây dựng phác đồ điều trị phù hợp. Tuy nhiên, chẩn đoán hình ảnh chỉ là một phần của quá trình thăm khám. Bác sĩ có thể chỉ định thêm các xét nghiệm khác như xét nghiệm máu tìm kiếm kháng nguyên hòa hợp mô HLA-B27, tìm kiếm protein phản ứng C (xét nghiệm CRP) để tăng cường độ chính xác của chẩn đoán.