Bệnh viêm khớp cùng chậu gây ra những cơn đau dai dẳng ở vùng lưng dưới, mông và háng. Chụp chiếu hình ảnh là điều cần thiết để chẩn đoán bệnh này. Hãy cùng ECO Pharma tìm hiểu hình ảnh viêm khớp cùng chậu trong bài viết sau.

Viêm khớp cùng chậu là tình trạng viêm đau ở các khớp nơi cột sống kết nối với xương chậu (khớp cùng chậu). Bệnh gây đau ở mông, lưng dưới, đùi, có thể kéo dài xuống một hoặc cả 2 chân và làm giới hạn các động tác ngửa, cúi, xoay người. Những điều sau đây làm cho cơn đau viêm khớp cùng chậu nặng hơn:
Nguyên nhân gây ra các vấn đề về khớp cùng chậu bao gồm: (1)
Viêm khớp cùng chậu thường khó chẩn đoán vì dễ bị nhầm lẫn với các tình trạng khác gây đau lưng dưới. Bác sĩ có thể chỉ định chụp X Quang, chụp cắt lớp (CT) hoặc chụp cộng hưởng từ (MRI) để chẩn đoán tình trạng này.
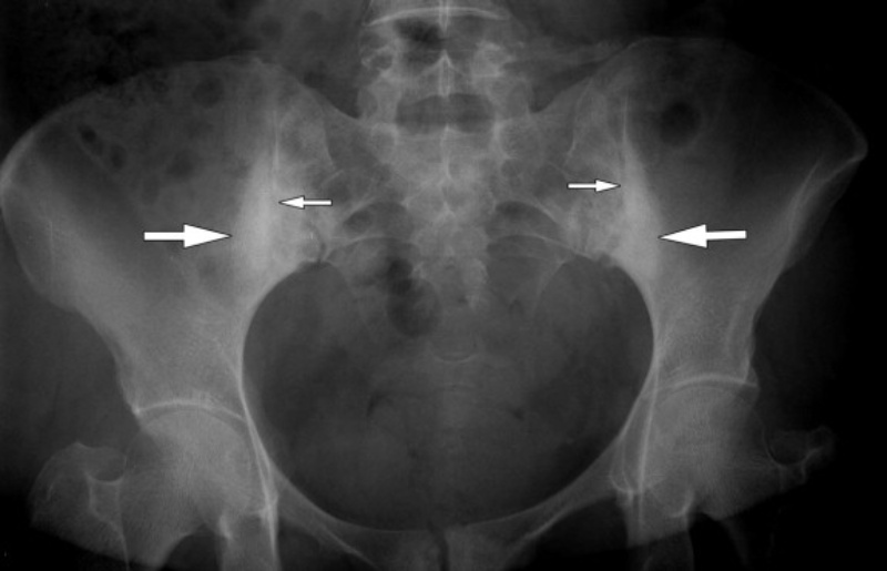
Tia X là một dạng bức xạ điện từ, giúp tạo ra hình ảnh về cấu trúc bên trong cơ thể. Loại tia này được phát hiện lần đầu vào năm 1895 và tia X chụp được hình ảnh mô người lần đầu tiên vào năm 1896 (2). Chụp X Quang là phương pháp chẩn đoán hình ảnh sử dụng phổ biến nhất. Bác sĩ có thể sử dụng X Quang để chẩn đoán các tình trạng liên quan đến xương chậu như:
Chụp X Quang vùng chậu là một phương pháp chẩn đoán đơn giản và không đau. Phụ nữ mang thai cần thông báo cho bác sĩ, vì thai nhi có thể bị phơi nhiễm với bức xạ từ tia X.

Tương tự như chụp X Quang, chụp CT (chụp cắt lớp vi tính) cho thấy các cấu trúc bên trong cơ thể. Nhưng thay vì tạo ra hình ảnh phẳng 2D, chụp CT sẽ chụp hàng trăm hình ảnh khi xoay quanh cơ thể để tạo nên hình ảnh 3D. Toàn bộ quy trình chụp CT có thể mất khoảng một giờ. (3)
Chụp CT cho thấy hình ảnh bất thường, các mức độ tổn thương khác nhau của khớp cùng chậu. Phương pháp này cũng có thể cho thấy tình trạng khe khớp cùng chậu rộng, xơ cứng trên bề mặt khớp, bào mòn khớp, dính một phần hoặc hoàn toàn khớp cùng chậu,… Dựa vào kết quả, bác sĩ sẽ chẩn đoán tình trạng viêm của khớp cùng chậu ở giai đoạn trung bình hoặc nghiêm trọng.
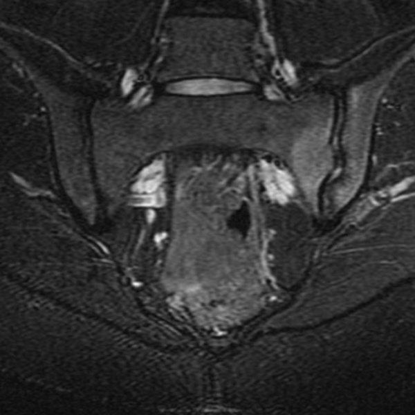
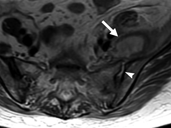
Chụp cộng hưởng từ (MRI) là một phương pháp tạo ra hình ảnh rất rõ nét về các cơ quan và cấu trúc bên trong cơ thể. MRI sử dụng nam châm lớn, sóng vô tuyến và máy tính để tạo ra hình ảnh chi tiết. Nó không sử dụng tia X (bức xạ) nên thường được lựa chọn khi cần chẩn đoán bệnh lý ở não bộ. (4)
Kết quả chụp cộng hưởng từ cho thấy mức độ tổn thương của khớp cùng chậu, cơ, dây chằng, vết nứt gãy nhỏ tại khớp. Với phương pháp này, bác sĩ có thể chẩn đoán mức độ viêm của khớp cùng chậu từ giai đoạn khởi phát mà chụp X Quang và CT không phát hiện được.











Để quá trình chẩn đoán hình ảnh viêm khớp cùng chậu được chính xác và an toàn, người bệnh cần lưu ý một số điều sau:
Trước khi chụp cần thông báo cho bác sĩ:
Chuẩn bị:
Các phương pháp chụp chiếu hiện đại rất an toàn. Tuy nhiên, bạn nên thông báo cho bác sĩ nếu có bất kỳ lo ngại hoặc biểu hiện bất thường nào.
Bài liên quan: Viêm khớp cùng chậu có nguy hiểm không?
Trung tâm Chấn thương chỉnh hình, Hệ thống Bệnh viện Đa khoa Tâm Anh, là nơi quy tụ đội ngũ chuyên gia đầu ngành, bác sĩ giàu kinh nghiệm và tận tâm như PGS.TS.BS Đặng Hồng Hoa, TTND.GS.TS.BS Nguyễn Việt Tiến, TS.BS Đỗ Tiến Dũng, ThS.BS Trần Anh Vũ,… Đây cũng là một trong những đơn vị tiên phong trong việc chẩn đoán, điều trị viêm khớp cùng chậu và các bệnh về cơ xương khớp với kỹ thuật hiện đại theo phác đồ cập nhật quốc tế như phẫu thuật thay khớp gối, khớp vai, khớp háng; phẫu thuật nối gân gót chân; phẫu thuật tái tạo và sửa chữa tổn thương đa dây chằng khớp gối,…
Tâm Anh còn được trang bị hệ thống máy móc, thiết bị chẩn đoán hình ảnh hiện đại như máy đo mật độ xương, máy chụp CT 768 lát cắt Somatom Drive, máy cộng hưởng từ thế hệ mới Magnetom Amira BioMatrix. Bệnh viện còn sở hữu hệ thống phòng khám khang trang, khu vực phục hồi chức năng hiện đại, khu nội trú cao cấp, quy trình chăm sóc hậu phẫu toàn diện giúp người bệnh nhanh chóng hồi phục sau phẫu thuật.
HỆ THỐNG BỆNH VIỆN ĐA KHOA TÂM ANH
Việc quan sát hình ảnh viêm khớp cùng chậu thông qua X Quang, MRI, CT là điều quan trọng để bác sĩ nhận diện và chẩn đoán bệnh. Bên cạnh việc tuân thủ phác đồ điều trị từ bác sĩ, người bệnh cần bổ sung thêm đầy đủ dinh dưỡng cũng như tập luyện vận động để giúp cải thiện tình trạng bệnh hiệu quả.