Viêm khớp dạng thấp ngoài gây sưng đau và hạn chế phạm vi cử động, còn dẫn đến biến dạng khớp, thậm chí tàn phế. Cùng ECO Pharma xem một số hình ảnh viêm khớp dạng thấp thực tế và trên phim chụp X quang, MRI, siêu âm của các bộ phận trên cơ thể.

Viêm khớp dạng thấp là bệnh tự miễn mạn tính, gây tổn thương bao hoạt dịch của khớp, dẫn đến đau, sưng và cứng khớp. Bệnh thường ảnh hưởng đến các khớp: bàn tay, cổ tay, đầu gối, mắt cá chân, bàn chân, ngón chân. Các triệu chứng có xu hướng xảy ra tại cùng một khớp ở hai bên cơ thể. Nếu không được kiểm soát kịp thời, tình trạng viêm sẽ làm hỏng sụn khớp, gây xói mòn xương và biến dạng khớp. Ngoài ra, bệnh cũng có thể ảnh hưởng đến các bộ phận khác của cơ thể như: da, mắt, phổi, tim.
Viêm khớp dạng thấp xảy ra do hệ thống miễn dịch – vốn có chức năng bảo vệ cơ thể khỏi nhiễm trùng và bệnh tật, lại tấn công các mô khỏe mạnh trong khớp. Nguyên nhân của hiện tượng này vẫn chưa được lý giải rõ ràng, nhưng các chuyên gia cho rằng gen di truyền và môi trường (virus, vi khuẩn) là những yếu tố có thể gây bệnh.
Theo thống kê năm 2020, có khoảng 17.6 triệu người trên toàn thế giới mắc viêm khớp dạng thấp, tăng 14.1% so với năm 1990. Tỷ lệ mắc bệnh cao hơn ở phụ nữ, gấp 2.45 lần so với nam giới. (1)
Hình ảnh bệnh viêm khớp dạng thấp tại các bộ phận khác nhau khi quan sát bằng mắt thường:
Hình ảnh viêm khớp dạng thấp tại bàn tay và ngón tay. Các ngón tay bị biến dạng, chìa ra ngoài, xa ngón tay cái; xuất hiện khối u mềm ở mu bàn tay:



Hình ảnh viêm khớp dạng thấp ở bàn chân và ngón chân cho thấy người bệnh bị chai chân, xuất hiện u ngón chân cái. Các ngón chân trở nên cong, cứng, biến dạng, trở thành ngón chân hình móng vuốt hoặc ngón chân hình búa. Vòm bàn chân có thể bị sụp xuống, khiến bàn chân bẹt, gây đau nhức và khó đi lại (2):



Bệnh viêm khớp dạng thấp gây sưng, cứng, trật khớp và xuất hiện các nốt dạng thấp ở khuỷu tay, khiến người bệnh khó cử động cánh tay hoàn toàn:



Triệu chứng phổ biến liên quan đến mắt ở người bị viêm khớp dạng thấp là khô mắt – tình trạng này có thể là dấu hiệu của hội chứng Sjogren – một dạng rối loạn tự miễn liên quan đến viêm khớp dạng thấp. Ngoài ra, bệnh thường gây viêm ở phần trắng (củng mạc) của mắt, dẫn đến đỏ và đau. Những dấu hiệu khác gồm: nhạy cảm với ánh sáng, tầm nhìn mờ,…

Viêm khớp dạng thấp, hội chứng Sjogren là những nguyên nhân phổ biến gây ra vấn đề tại tuyến nước bọt, khiến bạn bị khô miệng. Ngoài ra, người bệnh còn có nguy cơ viêm nướu, nhiễm trùng miệng, bệnh nha chu, dẫn đến sâu răng, thậm chí mất răng. Khớp thái dương hàm cũng dễ bị ảnh hưởng, khiến bạn khó mở và khép miệng bình thường. (3)

Các tình trạng ở da liên quan đến viêm khớp dạng thấp gồm: xuất hiện các cục u dưới da, kích cỡ dao động từ hạt đậu cho đến một quả chanh nhỏ; hoặc gặp tình trạng viêm mạch dạng thấp, khiến các mạch máu nhỏ và vừa bị viêm, thu hẹp, dẫn đến phát ban, đổi màu ngoài da, tạo ra vết lõm ở đầu ngón tay hoặc loét xung quanh móng tay. Bệnh cũng có thể khiến vết thương trên da chậm lành hơn. (4)

Hình ảnh của viêm khớp dạng thấp trên phim chụp X quang, MRI và siêu âm:
Tia X là một loại bức xạ, còn gọi là sóng điện từ, giúp tạo ra hình ảnh bên trong cơ thể theo các sắc thái đen trắng khác nhau. Canxi trong xương hấp thụ tia X nhiều nhất nên có màu trắng, trong khi đó chất béo và các mô mềm hấp thụ ít hơn nên có màu xám. Không khí hấp thụ ít nhất nên màu đen. Tia X có thể được dùng để chẩn đoán các vấn đề liên quan đến khớp như:
Một số hình ảnh chụp X-quang viêm khớp dạng thấp:





Chụp cộng hưởng từ (MRI) sử dụng từ trường và sóng vô tuyến do máy tính tạo ra để phác họa hình ảnh chi tiết về các cơ quan, mô trong cơ thể. Máy MRI được minh họa như một khối nam châm lớn. Khi người bệnh nằm bên trong, từ trường hoạt động với sóng vô tuyến và các nguyên tử hydro của cơ thể để tạo ra hình ảnh mặt cắt ngang.
Chụp MRI có thể được sử dụng để chẩn đoán các vấn đề về khớp, gồm:





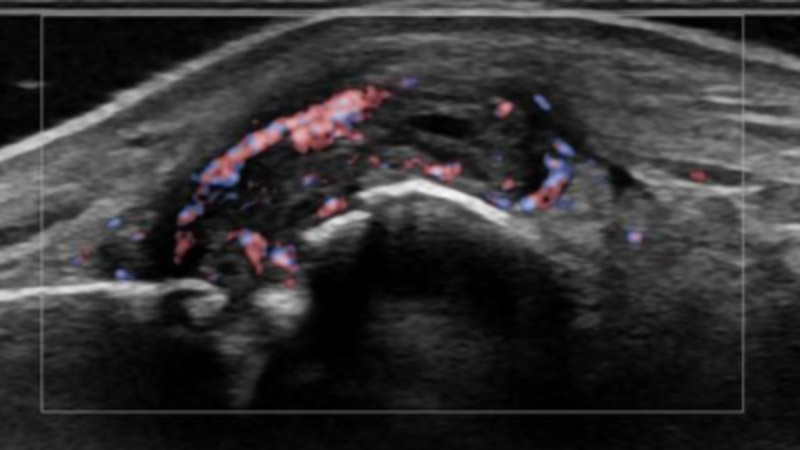
Siêu âm sử dụng sóng âm tần số cao để tạo ra hình ảnh các cơ quan và mô trong cơ thể. Bác sĩ sẽ bôi một lớp gel mỏng lên da, sau đó đặt đầu dò lên vùng cơ thể (tùy bộ phận bị ảnh hưởng). Đầu dò chuyển đổi dòng điện thành sóng âm tần số cao và truyền vào cơ thể. Sóng âm dội lại từ cấu trúc bên trong và trở lại đầu dò. Đầu dò chuyển sóng thành tín hiệu điện. Máy tính sẽ chuyển tín hiệu điện thành hình ảnh, video.
Sóng siêu âm có thể dùng để chẩn đoán các vấn đề về xương khớp:




Để xét nghiệm hình ảnh viêm khớp dạng thấp chính xác, người bệnh cần lưu ý:
Khoa Cơ xương khớp – Bệnh viện Đa khoa Tâm Anh là địa chỉ chẩn đoán hình ảnh viêm khớp dạng thấp chính xác, uy tín nhờ đầu tư hàng loạt thiết bị tân tiến như Hệ thống chụp CT 768 lát cắt Somatom Drive (Siemens – Đức), Hệ thống Cộng Hưởng Từ thế hệ mới MAGNETOM Amira BioMatrix (Siemens – Đức), Hệ thống X-quang treo trần DigiRAD-FP (Hàn Quốc), Máy đo loãng xương bằng tia X Horizon W (Hologic – Mỹ),… Đặc biệt, Bệnh viện Tâm Anh đầu tư hệ thống xét nghiệm tích hợp cobas pro đầu tiên tại Đông Nam Á, cho phép thực hiện đến 2200 xét nghiệm/giờ, hỗ trợ chẩn đoán nguyên nhân và đưa ra phác đồ điều trị viêm khớp dạng thấp hiệu quả.
Khoa quy tụ đội ngũ bác sĩ, chuyên gia giàu kinh nghiệm, không ngừng nỗ lực học tập, trau dồi và ứng dụng công nghệ hiện đại cho người bệnh. Bên cạnh đó, bệnh viện cũng chú trọng xây dựng quy trình thăm khám đơn giản, nhanh chóng để bạn không phải chờ đợi lâu, đồng thời cung cấp các dịch vụ chăm sóc khác như thực đơn dinh dưỡng, hỗ trợ tâm lý,… theo nhu cầu.
Hình ảnh viêm khớp dạng thấp có thể nhìn bằng mắt thường hoặc thông qua phim chụp X quang, MRI, siêu âm, giúp bác sĩ kiểm tra nguyên nhân và đưa ra phác đồ điều trị phù hợp. Tuy nhiên, xét nghiệm hình ảnh chỉ là một phần trong quá trình thăm khám, người bệnh có thể được chỉ định thực hiện nhiều phương pháp khác như xét nghiệm protein phản ứng C, xét nghiệm kháng thể kháng nhân dương tính (ANA),… để hỗ trợ chẩn đoán chính xác.