Hở van tim 2 lá ảnh hưởng đến hơn 2% dân số toàn cầu và tỷ lệ mắc bệnh tăng theo tuổi tác (1). Cùng ECO Pharma tìm hiểu nguyên nhân, triệu chứng, mức độ hở van, giúp phát hiện và can thiệp sớm để có kết quả điều trị tốt nhất.

Hở van tim 2 lá là tình trạng van ở buồng tim trái không đóng hoàn toàn, khiến máu rò rỉ ngược từ thất trái về nhĩ trái khi tim co bóp.
Hở van 2 lá tiếng Anh là gì? Hở van 2 lá tiếng Anh là mitral valve regurgitation. Van hai lá (mitral valve) nối nhĩ trái và thất trái, gồm lá trước hình bán nguyệt và lá sau hình tứ giác (2). Chúng áp vào nhau giúp van đóng mở, cho phép máu chảy một chiều từ nhĩ trái xuống thất trái. Nếu van hở, tim phải hoạt căng thẳng hơn để bơm máu đi đúng hướng, gây ra nhiều triệu chứng và biến chứng.
Dưới đây là một số hình ảnh hở van tim hai lá, giúp bạn hiểu rõ hơn về bệnh lý này:



Bệnh hở van hai lá được phân chia thành 2 loại:
Van hai lá đột ngột rò rỉ khiến tim không kịp thích nghi, gây ra các triệu chứng nghiêm trọng như đau thắt ngực, khó thở dữ dội, sốc tim. Nguyên nhân thường do viêm nội tâm mạc nhiễm khuẩn làm thủng lá van hoặc đứt dây chằng van; nhồi máu cơ tim cấp gây đứt cơ nhú; đứt dây chằng do thoái hóa hoặc chấn thương.
Van hai lá bị rò rỉ dần theo thời gian nên tim có thời gian thích nghi. Các triệu chứng có thể từ nhẹ đến nặng, tiến triển từ từ với các triệu chứng như mệt mỏi, giảm khả năng gắng sức, đau thắt ngực, hồi hộp, khó thở, ho khan, phù chân. Tình trạng này bao gồm hở van tim hai lá nguyên phát và thứ phát.
Hở hai lá nguyên phát xảy ra khi ít nhất một trong bốn thành phần cấu trúc (lá van, vòng van, dây chằng, cột cơ) bị tổn thương. Nguyên nhân thường do sa van hai lá, bệnh thấp tim, hiếm gặp hơn là tim bẩm sinh, rối loạn mô liên kết, bệnh tim do bức xạ.
Mặt khác, trong hở hai lá thứ phát, cấu trúc van tim bình thường, nhưng mắc bệnh ở thất trái hoặc nhĩ trái làm suy yếu chức năng van.
Phân độ hở van tim 2 lá phản ánh mức độ trào ngược máu, giúp bác sĩ đánh giá chức năng tim và đưa ra phác đồ điều trị phù hợp.
Đây là mức độ nhẹ nhất, chưa gây biến chứng nguy hiểm. Các biểu hiện thường không rõ rệt, một số người có thể bị khó thở, tức ngực, mệt mỏi khi gắng sức. Người bệnh cần thăm khám, siêu âm tim định kỳ 1 đến 2 lần mỗi năm để theo dõi, ngăn ngừa tiến triển.
Đây là mức độ trung bình. Tương tự như mức 1/4, tình trạng này cũng không có dấu hiệu rõ ràng. Nhưng nếu bệnh trở nặng, có thể gây khó thở khi nằm hoặc gắng sức, mệt mỏi khi thực hiện các hoạt động hàng ngày, tim đập nhanh, hồi hộp, đánh trống ngực, đau đầu, phù chân, ho (nhất là về đêm). Hở van tim 2 lá 2/4 cần kiểm soát kịp thời, tránh tiến triển nặng hơn.
Hở van 2 lá 3/4 đến 4/4 cho thấy mức độ nặng. Trong giai đoạn này, các triệu chứng khó thở, đau thắt ngực, ho, mệt mỏi,… có thể xuất hiện cùng lúc. Nguy cơ biến chứng cao, bao gồm rung nhĩ, tăng áp phổi, suy tim, ngừng tim. Tùy trường hợp, người bệnh có thể được chỉ định dùng thuốc hoặc phẫu thuật sửa chữa, thay van tim.

Hở van 2 lá có thể xảy ra do bẩm sinh hoặc tiến triển từ các vấn đề tim mạch khác:
Người bị hở van tim 2 lá từ khi sinh ra, do những bất thường liên quan đến cấu trúc van như sa van 2 lá, chẻ giữa lá van, dây chằng ngắn. Những tình trạng này làm suy giảm chức năng van, cản trở hoạt động đóng mở bình thường. Theo ước tính, tỷ lệ hở van 2 lá bẩm sinh chiếm 0.21% đến 0.42% trong tổng số các ca.(3)
Hở van tim hai lá có thể là hệ quả của một số vấn đề sức khỏe:
Những tác động bên ngoài như tai nạn giao thông, té ngã,… có thể gây chấn thương ngực, làm hỏng cấu trúc van, chẳng hạn như cơ nhú, dây chằng, lá van. Lúc này, van hai lá không thể đóng kín, dẫn đến trào ngược.
Trong số ít trường hợp, hở van tim hai lá có thể là biến chứng sau các cuộc phẫu thuật tim như bắc cầu động mạch vành , thay thế, sửa chữa van tim. Những thành phần của van hai lá có thể vô tình bị tổn thương khi thực hiện, gây khởi phát hoặc tái phát bệnh.(4)
Thói quen sống thiếu khoa học như hút thuốc lá, lạm dụng rượu bia sẽ làm hỏng mạch máu, gây cao huyết áp, tăng áp lực cho mô tim. Điều này liên quan đến tỷ lệ hở van tim 2 lá cao, khiến máu trào ngược trở lại nhĩ trái.
Lối sống ít vận động, ăn nhiều muối, chất béo bão hòa tác động tiêu cực đến sức khỏe tim mạch, bao gồm van hai lá. Ngoài ra, tình trạng mất ngủ, căng thẳng mãn tính cũng ảnh hưởng đến huyết áp, tăng nguy cơ mắc bệnh tim mạch.

Những yếu tố làm tăng nguy cơ hở van hai lá gồm:
Triệu chứng hở van 2 lá chủ yếu liên quan đến hệ tim mạch và hô hấp:
Hở van 2 lá làm tăng áp lực ở nhĩ trái, sau đó là tĩnh mạch phổi, gây tích tụ dịch, giảm khả năng trao đổi oxy. Ngoài ra, các mao mạch phổi có thể bị vỡ, khiến máu chảy vào đường hô hấp. Điều này dẫn đến các triệu chứng:
Van 2 lá không hoạt động hiệu quả, buộc tim làm việc căng thẳng hơn, có nguy cơ giãn thất trái, nhĩ trái và hạn chế lưu lượng máu đến động mạch vành. Tình trạng này sẽ gây ra các triệu chứng như:
Khả năng bơm máu của tim kém làm giảm tuần hoàn máu đến não, khiến người bệnh gặp phải các triệu chứng như:
Một số biểu hiện khác của hở van 2 lá gồm:
Để chẩn đoán hở van tim hai lá, bác sĩ có thể chỉ định một số phương pháp:
Bác sĩ hỏi thăm về các triệu chứng và tiền sử bệnh như cao huyết áp, thấp tim, nhồi máu cơ tim. Các chuyên gia cũng sẽ sử dụng ống nghe để kiểm tra tiếng thổi, nhịp tim, ổ đập bất thường trên lồng ngực.
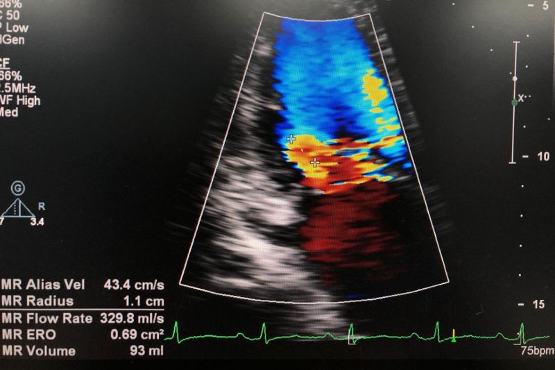
Sử dụng sóng âm tạo ra hình ảnh tim đang đập, cho thấy cấu trúc van hai lá và lưu lượng máu trong tim. Bác sĩ thường chỉ định hai kỹ thuật chính là siêu âm tim qua thành ngực (TTE) hoặc siêu âm tim qua thực quản (TEE). (5)
Siêu âm tim qua thành ngực được thực hiện bằng cách đặt đầu dò lên thành ngực, tạo ra hình ảnh động của tim theo thời gian thực. Nhờ đó, bác sĩ chẩn đoán được mức độ, cơ chế hở van, đánh giá chức năng thất trái, áp lực động mạch phổi. Tuy nhiên, kỹ thuật này có thể không cung cấp đầy đủ dữ liệu. Lúc này, siêu âm tim qua thực quản nên được tiến hành, bằng cách đưa một ống mỏng qua miệng, xuống cổ họng, vào thực quản người bệnh. Hình ảnh van 2 lá sẽ hiện ra chi tiết, giúp quyết định phác đồ điều trị phù hợp.
Ngoài ra, tùy trường hợp, bác sĩ có thể áp dụng siêu âm Doppler để kiểm tra dòng chảy hở van, tăng áp phổi; hoặc siêu âm 2D, 3D nhằm xác định nguyên nhân, mức độ nghiêm trọng của hở van 2 lá, tình trạng vôi hóa vòng van.

Đo điện tâm đồ sử dụng các miếng điện cực gắn vào da trên ngực, tay và chân. Những điện cực này được nối với máy điện tâm đồ bằng dây dẫn. Máy sẽ phát hiện, khuếch đại và ghi lại tín hiệu xung điện từ tim. Qua đó, bác sĩ có thể phát hiện các tình trạng liên quan đến hở van 2 lá như rung nhĩ, giãn nhĩ trái, phì đại thất trái.
Chụp X-quang ngực dùng tia X có bức xạ cao, cung cấp hình ảnh cấu trúc tim, phổi. Kỹ thuật này nhằm tìm kiếm các biểu hiện hở tim van 2 lá như bóng tim to, giãn nhĩ trái, giãn thất trái, sung huyết phổi, phù phổi (tích tụ dịch trong phế nang) do suy tim.
Đây là xét nghiệm sử dụng từ trường và sóng vô tuyến, mang đến hình ảnh chi tiết về tim. MRI tim giúp xác định phân suất hở, nguyên nhân giãn cơ tim của bệnh hở van hai lá.
Ngoài ra, bạn có thể được chỉ định thực hiện nghiệm pháp gắng sức, bao gồm đi bộ, đạp xe hoặc dùng thuốc để kiểm tra phản ứng của tim khi hoạt động thể chất. Thông tim cũng sẽ được áp dụng nếu nghi ngờ hở van hai lá do bệnh mạch vành.
Tùy nguyên nhân, mức độ hở van tim 2 lá, bác sĩ sẽ chỉ định phương pháp điều trị phù hợp, bao gồm:
Điều trị nội khoa chủ yếu dùng thuốc, phổ biến là các nhóm:
Nếu người bệnh hở van hai lá nghiêm trọng, có triệu chứng suy tim, bác sĩ sẽ chỉ định phẫu thuật sửa van hoặc thay van để giảm nguy cơ biến chứng.
Phẫu thuật sửa van hai lá nhằm tạo hình lại vòng van, giúp chúng đóng kín, ngăn máu rò rỉ trở lại nhĩ trái. Trường hợp van tim hư hỏng nặng, không thể sửa, người bệnh phải thay van nhân tạo như van cơ học, van sinh học. Đối với van cơ học, bạn cần uống thuốc chống đông suốt đời để tránh hình thành huyết khối. Trong khi đó, người dùng van sinh học thường phải thay van mới sau một thời gian, vì chúng nhanh thoái hóa hơn.
Phương pháp can thiệp ít xâm lấn tiên tiến hiện nay là sửa van 2 lá qua da (MitraClip). Kỹ thuật này không yêu cầu mở ngực hay ngừng tim tạm thời, thích hợp cho người bệnh nặng.
Bác sĩ sẽ tiếp cận van hai lá bằng một ống thông được dẫn qua tĩnh mạch ở chân, đi đến tim. Sau đó, một thiết bị kim loại được đưa vào để kẹp lại hai mép van bị hở, giúp van đóng kín, ngăn ngừa máu trào ngược vào tâm nhĩ trái, cải thiện chức năng tim.

Điều này tùy thuộc mức độ hở. Hở van 2 lá 1/4 là nhẹ nhất, chưa gây nguy hiểm, nhưng cần siêu âm tim định kỳ để theo dõi. Đối với mức độ 2/4, bạn cần điều chỉnh lối sống khoa học, kết hợp điều trị bằng thuốc để giúp giảm gánh nặng cho van tim. Hở van 2 lá 3/4 và 4/4 là giai đoạn nặng, phải dùng thuốc hoặc phẫu thuật van tim để tránh biến chứng nghiêm trọng đe dọa tính mạng.
Khi nhận thấy các triệu chứng dần trở nên nghiêm trọng, bạn nên thăm khám sớm để điều chỉnh thuốc hoặc phẫu thuật van tim. Ngoài ra, người bệnh hãy gọi cấp cứu nếu đột ngột thấy khó thở, đau thắt ngực nghiêm trọng; đầu ngón tay, lòng bàn tay và ngón chân hơi xanh; da lạnh, đổ mồ hôi; ho ra đờm hồng có bọt; chóng mặt, yếu; tim đập nhanh. Những biểu hiện này cảnh báo tình trạng khẩn cấp đe dọa tính mạng, cần điều trị ngay lập tức.
Bệnh hở van hai lá có thể được phòng tránh và kiểm soát bằng lối sống khoa học kết hợp chăm sóc y tế:
Bạn nên điều chỉnh chế độ ăn tốt cho sức khỏe tim mạch, thường là thực phẩm giàu chất xơ, vitamin, chất chống oxy hóa, chất béo lành mạnh.
Chất xơ làm giảm cholesterol xấu LDL-c, thúc đẩy lưu thông máu, giảm áp lực cho van tim. Bạn hãy bổ sung yến mạch, lúa mạch, gạo lứt, đậu phộng, hạt dẻ, táo.
Chất chống oxy hóa và vitamin có tác dụng bảo vệ mạch máu khỏi gốc tự do, ngăn ngừa xơ vữa động mạch, duy trì tuần hoàn máu qua van 2 lá. Người bệnh có thể ăn hạt điều, hạnh nhân, óc chó, dâu tây, việt quất.
Ngoài ra, chất béo lành mạnh cũng rất cần thiết, tiêu biểu là omega-3 giúp chống viêm, cải thiện độ đàn hồi của mạch máu, giảm nguy cơ hình thành huyết khối. Các loại cá béo như cá hồi, cá cơm, cá trích,… được xem là nguồn thực phẩm lý tưởng giàu loại chất béo này.
Bên cạnh đó, người bệnh nên hạn chế ăn thực phẩm nhiều muối, đường, chất béo bão hòa. Thói quen hút thuốc lá, uống rượu bia cần bỏ sớm, vì gây hại cho tim mạch.
Nếu đã mắc bệnh, kế hoạch tập luyện phải tuân theo hướng dẫn của bác sĩ, ưu tiên bài tập nhẹ nhàng như đi bộ, bơi lội, đạp xe, hỗ trợ cải thiện chức năng tim. Các hoạt động thư giãn như thiền, hít thở sâu,… cũng rất hữu ích trong việc điều hòa cảm xúc, tránh căng thẳng, tức giận, hoảng sợ gây ảnh hưởng đến tim.

Kiểm soát bệnh lý nền giúp giảm nguy cơ khởi phát hoặc làm trầm trọng thêm bệnh hở van 2 lá:
Bên cạnh đó, bạn nên thăm khám tại Trung tâm Kiểm soát cân nặng và Điều trị béo phì, Bệnh viện Đa khoa Tâm Anh. Đây là nơi ứng dụng kỹ thuật hiện đại trong điều trị thừa cân, béo phì như công nghệ đông hủy mỡ Cool Lipolysis, công nghệ Laser Lipolysis,… giúp giảm mỡ không xâm lấn, ít tác dụng phụ, hiệu quả đáp ứng cao, thời gian hồi phục nhanh.
Trung tâm quy tụ đội ngũ bác sĩ lành nghề, giàu kinh nghiệm. Đặc biệt, với lợi thế đa khoa, các chuyên gia sẽ phối hợp cùng bác sĩ Tim mạch, Tiêu hóa,… để điều trị toàn diện, hỗ trợ giảm cân, phòng ngừa và kiểm soát hở van hai lá.
Nếu đã được chẩn đoán mắc bệnh hở van hai lá, việc tuân thủ phác đồ điều trị của bác sĩ là rất quan trọng. Người bệnh cần dùng thuốc theo chỉ định, không tự ý thay đổi liều lượng. Điều này giúp kiểm soát tốt các triệu chứng, ngăn ngừa bệnh tiến triển, cải thiện chất lượng sống.
Khám sức khỏe tim mạch định kỳ giúp phát hiện, theo dõi tình trạng hở van tim 2 lá, từ đó khắc phục kịp thời. Để kiểm tra, bác sĩ có thể chỉ định một số kỹ thuật như siêu âm tim, đo điện tâm đồ, chụp X-quang.
Cụ thể, siêu âm tim giúp đánh giá mức độ hở van 2 lá; đánh giá chức năng thất trái; áp lực động mạch phổi. Đo điện tâm đồ nhằm theo dõi rối loạn nhịp tim liên quan đến hở van. Chụp X-quang để xác định giãn nhĩ trái, thất trái, tích tụ dịch trong phổi.
Những vấn đề liên quan đến hở van tim 2 lá có thể bạn quan tâm:
Hở van tim 2 lá có thể chữa được bằng cách phẫu thuật van tim, tùy mức độ. Hở van nhẹ chưa ảnh hưởng nghiêm trọng, có thể không điều trị. Mức độ trung bình trở lên cần theo dõi chặt chẽ và điều trị bằng thuốc, hoặc can thiệp sửa van, thay van, giúp kiểm soát triệu chứng, ngăn ngừa biến chứng.

Tuổi thọ của người bệnh tùy thuộc mức độ hở van, tuổi tác, sức khỏe tổng thể, khả năng đáp ứng điều trị.
Hầu hết trường hợp hở van nhẹ vẫn sống sau 5 năm kể từ khi được chẩn đoán. Tuy nhiên, đối với mức độ nghiêm trọng, chỉ khoảng 60% người sống sau 5 năm.
Vì vậy nếu hở hai lá nặng, việc can thiệp phẫu thuật kịp thời là rất cần thiết, giúp nâng cao tỷ lệ sống dài hạn. Báo cáo trên Tạp chí của Hiệp hội Tim mạch (Mỹ) đã khảo sát 47279 người phẫu thuật van hai lá, cho thấy tỷ lệ sống sau sửa van là 90.9% sau 1 năm, 77.1% sau 5 năm và 53.6% sau 10 năm. Tỷ lệ sống sau thay van là 82.6% sau 1 năm, 64.7% sau 5 năm và 37.2% sau 10 năm. (8)
Phụ nữ hở van tim 2 lá nhẹ có thể mang thai và sinh con bình thường, nhưng cần theo dõi chặt chẽ trong suốt thai kỳ và sau sinh.
Với mức độ trung bình trở lên, bạn nên tham khảo ý kiến của bác sĩ Sản phụ khoa và Tim mạch để được siêu âm tim, đánh giá nguy cơ trước khi mang thai. Trong thai kỳ, thai phụ cần siêu âm tim định kỳ vào tháng thứ 5, thứ 7 và trước khi sinh, giúp đánh giá các rủi ro trong sinh để đảm bảo an toàn cho cả mẹ và bé.
Xem thêm: Hở van tim 2 lá có sao không?
Người hở van tim 2 lá cần kiêng ăn thực phẩm nhiều muối, cholesterol, chất béo bão hòa và uống rượu bia. Ăn nhiều muối khiến cơ thể giữ nước, gây cao huyết áp, phù nề, tạo gánh nặng cho tim. Thực phẩm giàu cholesterol, chất béo bão hòa làm tăng nguy cơ xơ vữa động mạch, dẫn đến suy tim. Rượu, bia chứa cồn, có thể gây rối loạn nhịp tim, cao huyết áp, tổn thương cơ tim, từ đó hở van 2 lá nghiêm trọng hơn.
Bạn nên tập thể dục nhẹ nhàng, thường là các bài tập vừa sức để tránh gây áp lực cho tim như đi bộ, đạp xe, thiền, bơi lội. Bạn nên bắt đầu với cường độ thấp, sau đó tăng dần khi cơ thể đã thích nghi; hãy nghỉ ngơi bất cứ lúc nào thấy mệt. Nhưng tốt nhất hãy hỏi bác sĩ về các mức độ và loại hình luyện tập an toàn.
Hở van tim 2 lá thường không nguy hiểm trong giai đoạn đầu. Nhưng nếu không kiểm soát tốt, bệnh có thể tiến triển nặng, gây biến chứng nguy hiểm. Việc tuân thủ phác đồ điều trị, thăm khám định kỳ, điều chỉnh lối sống khoa học là rất cần thiết. Ngoài ra, người bệnh nên bổ sung tinh chất thiên GDL-5, được phân lập và tinh chiết từ phấn mía Nam Mỹ. Thành phần này đã được chứng minh làm giảm cholesterol LDL-c, triglyceride, hỗ trợ ngăn ngừa xơ vữa động mạch, cao huyết áp, và duy trì sức khỏe tim mạch.