Melanocyte sản xuất ra melanin – sắc tố đóng vai trò quan trọng trong việc ngụy trang ở động vật và ở người là chống lại các tác động độc hại, đặc biệt bức xạ tia UV từ nắng mặt trời. Melanocyte phân bố ở đâu, chức năng cụ thể là gì, điều gì sẽ xảy ra nếu bị rối loạn và làm sao để ổn định? Cùng ECO Pharma tìm hiểu trong bài viết sau.

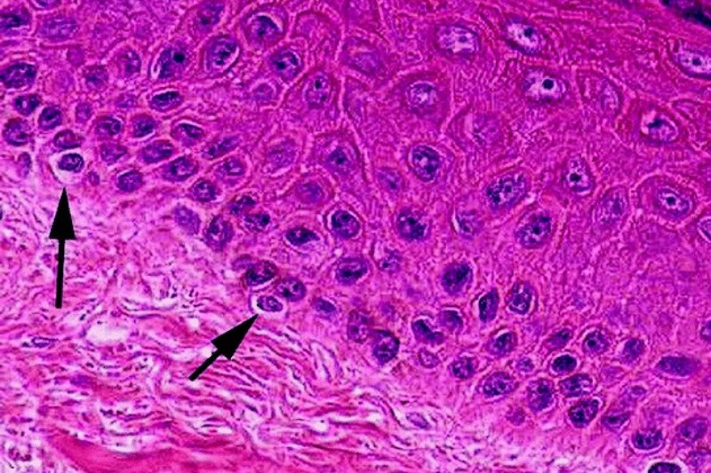
Melanocyte là một loại tế bào sắc tố (còn gọi là tế bào hắc tố) chịu trách nhiệm sản xuất sắc tố (melanin). Mỗi tế bào này cung cấp sắc tố cho khoảng 30 – 40 tế bào sừng (keratinocyte) giúp hình thành màu da, màu tóc và màu mắt.
Mặc dù nhiều yếu tố ảnh hưởng đến màu da nhưng melanin là yếu tố quan trọng nhất. Melanin có hai loại chính là eumelanin (sắc tố nâu/đen) và phenomelanin (sắc tố vàng/đỏ). Ở da sẫm màu các tế bào sừng rất giàu eumelanin nhưng ở da sáng màu thì ngược lại.
Sự cân bằng giữa eumelanin và pheomelanin trong tế bào sắc tố sẽ quyết định màu tóc, mắt và da tự nhiên của mỗi người, đồng thời góp phần tạo nên sự khác biệt về độ nhạy cảm với ánh nắng mặt trời và nguy cơ ung thư da. (1)
Tế bào sắc tố rất phong phú trong lớp biểu bì của con người, với mật độ xấp xỉ 1.500 tế bào trên mỗi milimet vuông. Những tế bào sắc tố này thường nằm ở lớp biểu bì, đôi khi di chuyển xuống màng đáy và đóng vai trò quan trọng trong quá trình tạo sắc tố da. Ngoài ra tế bào sắc tố còn hiện diện ở phần gốc của nang tóc và mống mắt, nơi chúng tạo màu cho các cấu trúc này. Tế bào sắc tố cũng được tìm thấy ở tai trong, hệ thần kinh và tim. (2)

Tế bào melanocyte có chức năng sản xuất melanin để bảo vệ da khỏi tia UV và một số chức năng nhất định đối với những bộ phận khác của cơ thể. Cụ thể như sau.
Tế bào sắc tố bảo vệ da khỏi tia UV (tia cực tím, tia tử ngoại) và đóng vai trò quan trọng trong việc phòng ngừa tổn thương DNA. Khi da tiếp xúc với ánh nắng mặt trời, các tế bào này tăng cường sản xuất melanin giúp da rám nắng. Melanin bảo vệ da bằng cách hấp thụ các tia có hại, bao gồm UVA, UVB, UVC và ánh sáng xanh. Các nghiên cứu cũng cho thấy melanin có thể hỗ trợ hệ miễn dịch và giảm viêm trong cơ thể.
Tế bào sắc tố cũng rất quan trọng đối với các cơ quan khác, ví dụ trong mắt các tế bào này đóng vai trò điều chỉnh lượng ánh sáng đi vào mắt. Tế bào sắc tố melanocyte cũng được tìm thấy trong màng mạch phía sau võng mạc, nơi chúng hoạt động như một màn chắn ánh sáng ngăn chặn sự truyền ánh sáng đến các mô sâu hơn.
Trong tai trong của động vật có vú tế bào sắc tố được tìm thấy trong một phần của thành ống ốc tai được gọi là dải mạch máu, nơi chúng điều chỉnh thành phần ion của nội dịch và đảm bảo các tế bào lông thính giác hoạt động bình thường. Trên thực tế số lượng tế bào sắc tố ở dải mạch máu giảm có thể dẫn đến suy giảm thính lực. (3)
Quá trình sinh tổng hợp cả eumelanin và pheomelanin đều bắt đầu thông qua một con đường ban đầu chung. Axit amin tyrosine được chuyển hóa thành L-DOPA bởi enzyme tyrosine hydroxylase, enzyme này cần tetrahydrobiopterin làm chất xúc tác. Tiếp theo enzyme tyrosinase oxy hóa L-DOPA thành dopaquinone. Chất trung gian quan trọng này có thể tiếp tục theo các nhánh khác nhau để tạo thành eumelanin (sắc tố đen hoặc nâu) hoặc pheomelanin (sắc tố đỏ hoặc vàng), tùy thuộc vào môi trường tế bào và sự sẵn có của chất nền.
Tăng hoạt động tế bào sắc tố, giảm hoạt động tế bào sắc tố,… là một số rối loạn melanocyte thường gặp.
Khi làn da bị kích thích bởi các yếu tố như ánh nắng mặt trời, viêm (chấn thương, mụn), thay đổi hormone hoặc hóa chất, melanocyte sẽ hoạt động mạnh hơn và tạo ra nhiều melanin. Lượng melanin dư thừa này sẽ tích tụ tại những vùng trên da, tạo thành các đốm nâu, mảng da sậm màu hoặc nám. Tăng sắc tố có thể xuất hiện ở mặt, cổ, mu bàn tay, cánh tay hoặc bất kỳ vùng da nào tiếp xúc ánh nắng. Tình trạng này thường lành tính nhưng ảnh hưởng lớn đến thẩm mỹ và tâm lý.
Tế bào melanocyte hoạt động kém hoặc bị tổn thương có thể dẫn đến số lượng sắc tố melanin giảm, tạo ra hiện tượng giảm sắc tố, làm xuất hiện những vùng da sáng màu hơn so với các vùng xung quanh. Đây không phải là tình trạng phổ biến như tăng sắc tố. Một số trường hợp mất sắc tố da có liên quan đến yếu tố di truyền, làm tăng khả năng phát triển những vùng da sáng bất thường. Bên cạnh đó ô nhiễm, tiếp xúc với hóa chất độc hại cũng góp phần làm tổn thương melanocyte, thúc đẩy mất sắc tố da. Bạch biến, bạch tạng, viêm da cơ địa,… cũng là một số bệnh lý làm giảm sắc tố da.
Tóc bạc là một dấu hiệu phổ biến và dễ nhận thấy của quá trình lão hóa do sự suy giảm hoặc thiếu hụt sản sinh melanin. Ngoài ra sự mất chức năng của tế bào sắc tố ở mống mắt và biểu mô sắc tố võng mạc (RPE) có liên quan đến tổn thương thụ thể ánh sáng và các khiếm khuyết về thị lực. (4)

Bức xạ UV gây tổn thương DNA của tế bào da làm biến đổi các gen ảnh hưởng đến quá trình tăng sinh và phân chia tế bào. Khi DNA bị tổn thương nhưng không được sửa chữa, tế bào bất thường phát triển mất kiểm soát dẫn đến ung thư da. Ung thư hắc tố da (melanoma) xảy ra khi các tế bào melanocyte phát triển không kiểm soát và xâm lấn các mô xung quanh hoặc di căn.
Một trong những bước đầu tiên cần thực hiện là giảm tiếp xúc với tia cực tím bằng cách sử dụng kem chống nắng phổ rộng hàng ngày. Cách này giúp ngăn ngừa sự kích thích quá mức của tế bào sắc tố, từ đó hạn chế nguy cơ xuất hiện các đốm tối màu. Tiếp theo tham khảo ý kiến của bác sĩ để sử dụng các sản phẩm chăm sóc da giàu hoạt chất làm giảm sắc tố sẽ trực tiếp nhắm vào các đốm hiện có và ngăn ngừa sự hình thành các đốm mới. Một số hoạt chất hoạt động bằng cách ức chế hoạt động của tyrosinase, từ đó điều hòa sản xuất melanin và làm đều sự phân bố của nó trong toàn bộ lớp biểu bì.
Bên cạnh đó việc ăn uống dinh dưỡng, chú trọng rau xanh, trái cây; ngủ đủ giấc, uống đủ nước, giảm stress, tập thể dục, tránh tiếp xúc với môi trường ô nhiễm,… cũng là những điều cần thiết để điều hòa, bảo vệ hoạt động của melanocyte và sức khỏe của làn da nói chung.

Dưới đây là một số thắc mắc thường gặp về tế bào sắc tố.
Như đã đề cập melanocyte không phải là melanin mà là tế bào sản sinh ra melanin. Melanin là một nhóm sắc tố đen, nâu, đỏ hoặc vàng được tìm thấy ở hầu hết các sinh vật sống, bao gồm vi khuẩn, nấm và thực vật bậc cao. Ở người melanin chủ yếu được sản xuất bởi một loại tế bào duy nhất, đó là tế bào melanocyte.
Tình trạng mất sắc tố da do tổn thương tế bào hắc tố thứ phát (do viêm nhiễm, chấn thương, phẫu thuật) thường là vĩnh viễn. Vùng bị tổn thương thường lành lại thành sẹo màu trắng nhạt hoặc trắng ngà. Việc tái tạo sắc tố có thể xảy ra khi các tế bào hắc tố chưa bị phá hủy hoàn toàn do viêm nhiễm hoặc chấn thương trước đó. Việc sử dụng phương pháp lăn kim kết hợp với bôi thuốc tyrosine hoặc bimatoprost tại chỗ có thể hữu ích trong một số trường hợp để thúc đẩy quá trình tái tạo sắc tố ở mức độ nhất định.
Nhiều gen liên quan đến sự phát triển của tế bào hắc tố cũng có liên quan đến sự phát triển của u hắc tố (melanoma), một dạng ung thư da ác tính và gây tử vong, bắt nguồn từ tế bào hắc tố. Mặc dù u hắc tố giai đoạn đầu chưa di căn đến hạch bạch huyết có thể được cắt bỏ với nguy cơ tái phát thấp nhưng bệnh nhân được chẩn đoán mắc u hắc tố di căn có tỷ lệ tử vong cao do hầu hết các khối u đều kháng lại xạ trị và hóa trị. Các tế bào hắc tố biến đổi phát triển thành u hắc tố sẽ tăng sinh bất thường và thường bắt đầu phát triển theo chiều ngang trong da.

Bổ sung các tinh chất chất chuyên biệt cho da như Sakura, L-Glutathione, Pomegranate, Collagen, P. Leucotomos,…sẽ giúp ích cho vấn đề này. Chúng đã được chứng minh có tác dụng ức chế hoạt động của tế bào melanocyte từ đó giảm sản xuất melanin tối màu đồng thời tăng lượng melanin sáng màu giúp da trắng sáng một cách an toàn. Chúng đặc biệt hỗ trợ tốt cho các tình trạng da tăng sắc tố như sạm nám, tàn nhang và không đều màu.
Tóm lại melanocyte là yếu tố cốt lõi quyết định màu sắc tự nhiên của làn da và đóng vai trò thiết yếu trong việc bảo vệ cơ thể trước tác hại của tia UV. Việc hiểu rõ hoạt động của tế bào này không chỉ giúp chúng ta nhìn nhận đúng về sự đa dạng màu sắc da mà còn hỗ trợ trong chăm sóc và bảo vệ da hằng ngày