Men gan được sản sinh từ các tế bào gan, đóng vai trò quan trọng trong nhiều hoạt động chuyển hóa của gan. Nồng độ men gan cao là dấu hiệu cho thấy gan bị tổn thương. Cùng ECO Pharma tìm hiểu triệu chứng, chẩn đoán và cách phòng ngừa tình trạng này qua bài viết sau.

Men gan cao thường là dấu hiệu viêm hoặc tổn thương tế bào gan, do nhiều tác nhân gây ra như virus, rượu, thuốc. Men gan tăng càng cao, mức độ tổn thương gan càng nghiêm trọng.
Men gan là các protein thúc đẩy phản ứng hóa học trong cơ thể, như sản xuất mật và chất làm đông máu, phân hủy thức ăn và độc tố, chống nhiễm trùng. Các men gan phổ biến là:
Khi gan tổn thương, các men này, đặc biệt là ALT và AST sẽ được giải phóng vào máu, làm tăng nồng độ men gan. Hầu hết trường hợp, men gan chỉ tăng nhẹ trong thời gian ngắn nhưng được xem là dấu hiệu rõ ràng cảnh báo vấn đề về gan.
Người bệnh có thể phát hiện bất thường ở gan qua một số biểu hiện men gan tăng sau:

Tăng men gan thường do bệnh về gan, thuốc hoặc vấn đề sức khỏe khác gây ra: (1)
Chẩn đoán men gan tăng cao thường bao gồm các phương pháp:
Để kiểm tra men gan, bác sĩ sẽ lấy máu từ tĩnh mạch người bệnh, sau đó gửi đến phòng thí nghiệm để phân tích. Kết quả thường có sau vài giờ.
Chỉ số men gan bình thường thuộc khoảng:
Kết quả men gan chênh lệch nghiêm trọng thường cảnh báo vấn đề ở gan. Bác sẽ sẽ chỉ định thêm các xét nghiệm chuyên sâu khác để chẩn đoán nguyên nhân chính xác.
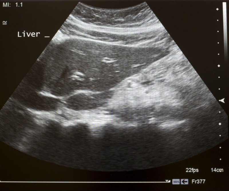
Siêu âm bụng khảo sát gan sử dụng sóng âm tần số cao tạo ra hình ảnh cấu trúc gan như thùy gan, phân thùy gan, hệ mạch máu gan. Từ đó, bác sĩ có thể phát hiện những tổn thương liên quan đến men cao gan như viêm gan, gan nhiễm mỡ, xơ gan, ung thư gan và có biện pháp can thiệp kịp thời. Quá trình thực hiện không xâm lấn, không đau, diễn ra khoảng 30 phút.

Sinh thiết gan là kỹ thuật cắt mẫu mô gan nhỏ từ cơ thể người bệnh để kiểm tra, đánh giá dưới kính hiển vi nhằm tìm kiếm dấu hiệu tổn thương hoặc bệnh tật. Dựa vào kết quả, bác sĩ có thể chẩn đoán viêm gan B, viêm gan C, viêm gan tự miễn, xơ gan, nhiễm sắc tố sắt mô, Wilson và chỉ định phác đồ điều trị phù hợp.
Hai loại sinh thiết gan phổ biến là qua da và nội soi. Trong sinh thiết gan qua da, người bệnh được gây tê cục bộ, sau đó dùng kim mảnh đâm vào da, qua cơ liên sườn và phúc mạc rồi đến gan để cắt một phần mô nhỏ. Ở sinh thiết gan nội soi, người bệnh được gây mê toàn thân. Bác sĩ rạch đường nhỏ trên da, đưa ống nội soi có gắn camera vào ổ bụng, sau đó luồn kim qua một ống khác để lấy mô gan dưới sự hỗ trợ của hình ảnh.
Sinh thiết gan cần được thực hiện bởi bác sĩ có chuyên môn, giảm nguy cơ rủi ro như đau, chảy máu, nhiễm trùng, tổn thương cơ quan lân cận như túi mật hoặc phổi.
Tăng men gan là dấu hiệu cảnh báo vấn đề sức khỏe ở gan. Nếu không được kiểm soát, điều trị kịp thời, bệnh có thể tiến triển thành xơ gan, suy gan, ung thư gan, gây nguy hiểm đến tính mạng.
Ngoài ra, nồng độ men gan cao còn dự báo nguy cơ tử vong. Nghiên cứu trên Tạp chí Bệnh học Gan (Mỹ) cho thấy, chỉ số AST cao gấp đôi so với bình thường làm tăng tỷ lệ tử vong đến 32%, nếu cao hơn gấp đôi, tỷ lệ này tăng đến 78%. Với ALT, mức tăng gấp đôi khiến nguy cơ tử vong tăng 21%, nếu vượt quá gấp đôi, nguy cơ có thể tăng đến 59%.
Phương pháp điều trị tăng men gan tùy thuộc từng nguyên nhân. Thông thường, men gan sẽ trở lại bình thường sau 2 đến 4 tuần. Người bệnh không cần điều trị nhưng có thể được chỉ định kiêng rượu bia, ngừng hoặc thay đổi thuốc, điều chỉnh chế độ dinh dưỡng khoa học.
Nếu tăng men gan kéo dài, bác sĩ sẽ đề xuất xét nghiệm máu, siêu âm hoặc sinh thiết gan để chẩn đoán nguyên nhân và xây dựng phác đồ điều trị phù hợp.
Men gan tăng cao kéo dài tiềm ẩn nhiều biến chứng nguy hiểm. Chủ động phòng ngừa từ sớm sẽ giúp bảo vệ lá gan khỏe mạnh.
Một số biện pháp ECO Pharma chia sẻ dưới đây có thể giúp ích:
Tiêm vắc xin là biện pháp hàng đầu ngăn ngừa lây nhiễm viêm gan A, viêm gan B, tránh nguy cơ tăng men gan. Để mang đến hiệu quả bảo vệ tối ưu, các phác đồ tiêm chủng nên được hoàn thành càng sớm càng tốt:
Viêm gan A:
Viêm gan B:
Sau khi tiêm vắc xin, cơ thể sẽ hình thành kháng thể – những protein quan trọng giúp nhận diện và tiêu diệt tác nhân gây bệnh.

Bạn nên tiêm chủng tại Hệ thống Trung tâm tiêm chủng VNVC. Vì đây là đối tác chính thức, chiến lược và toàn diện với các hãng vắc xin lớn toàn cầu như Glaxosmithkline (Bỉ), Sanofi Pasteur (Pháp), Abbott (Hà Lan), Pfizer (Mỹ), đảm bảo cung cấp vắc xin chính hãng, giá cả bình ổn. Tất cả vắc xin tại VNVC đều được bảo quản trong hệ thống dây chuyền lạnh đạt chuẩn GSP, từ 2 đến 8 độ C theo yêu cầu nghiêm ngặt của nhà sản xuất.
Quy trình tiêm chủng được kiểm soát nghiêm ngặt, khép kín. Đội ngũ bác sĩ, điều dưỡng viên giàu kinh nghiệm, được đào tạo bài bản về kỹ năng tiêm ít đau, khả năng xử trí phản ứng dị ứng, mang đến cảm giác an tâm trước từng mũi tiêm.
Dấu hiệu của men gan tăng cao thường không biểu hiện rõ ràng trong giai đoạn đầu. Vì vậy việc thăm khám định kỳ một đến hai lần mỗi năm là điều cần thiết, đặc biệt là người có nguy cơ cao như béo phì, thường xuyên uống rượu bia. Điều này giúp phát hiện sớm bất thường ở gan và can thiệp kịp thời, giảm nguy cơ biến chứng.
Thông thường, người bệnh cần xét nghiệm máu để đo nồng độ AST, ALT, ALP, GGT, bilirubin, albumin và protein toàn phần. Nếu nghi ngờ mắc bệnh, bác sĩ sẽ chỉ định thêm siêu âm, sinh thiết nhằm đánh giá chính xác mức độ tổn thương gan.
Xây dựng lối sống lành mạnh giúp giảm áp lực chuyển hóa tại gan, phòng tránh tăng men gan. Chế độ dinh dưỡng đảm bảo cân đối giữa protein nạc, chất xơ, chất chống oxy hóa, axit béo omega-3, vitamin và khoáng chất.
Bởi vì protein nạc hỗ trợ phục hồi, tái tạo gan; chất xơ ngăn tích tụ mỡ; chất chống oxy hóa và axit béo omega-3 chống viêm, giảm mỡ trong gan. Các vitamin, khoáng chất như vitamin nhóm B, vitamin C, vitamin E, kẽm, magie giúp trung hòa gốc tự do, hạn chế tăng chất béo. Các thực phẩm bạn nên bổ sung như ngũ cốc nguyên hạt (gạo lứt, yến mạch, bánh mì nguyên cám), rau xanh (bông cải xanh, rau chân vịt, cải xanh), các loại hạt (hạnh nhân, hạt điều, hạt dẻ), các loại đậu (đậu nành, đậu xanh), cá béo (cá hồi, cá mòi, cá cơm), quả mọng (việt quất, mâm xôi, dâu tây), thịt nạc không da (gà, lợn), dầu oliu. Nước lọc cần nạp đủ 2 đến 2.5 lít mỗi ngày, thúc đẩy gan đào thải độc tố.
Bạn nên tránh thức ăn nhanh, chế biến sẵn, nhiều dầu mỡ, đường và muối. Đồ uống có cồn như rượu, bia phải kiêng tuyệt đối.
Việc sử dụng thuốc và thực phẩm chức năng cần tham khảo ý kiến của bác sĩ, tuân thủ đúng liều lượng, tránh gây quá tải cho gan. Vận động đều đặn 30 phút mỗi ngày như đi bộ, bơi lội, đạp xe cũng rất có lợi trong việc giảm mỡ nội tạng, kiểm soát cân nặng, cải thiện tuần hoàn máu đến gan. Đồng thời giảm stress bằng cách ngủ đủ 7 đến 8 tiếng mỗi ngày, thiền, yoga hoặc hít thở sâu.

Nếu có các dấu hiệu của men gan tăng cao và xuất hiện triệu chứng đau vùng hạ sườn phải, nước tiểu sẫm màu, phân nhạt màu, vàng da, vàng mắt, ngứa da, sụt cân không rõ nguyên nhân, người bệnh nên đi thăm khám ngay. Nếu được chẩn đoán tăng men gan gấp hai lần trở lên so với bình thường, bạn cần kiểm tra lại sau hai đến ba tháng hoặc theo chỉ định của bác sĩ.
Một số vấn đề khác liên quan đến tăng men gan được người bệnh quan tâm:
Người có men gan tăng cao vẫn có thể tập thể dục, nhưng nên ưu tiên các bài tập nhẹ nhàng, vừa sức như chạy bộ chậm, đạp xe, bơi lội hoặc yoga. Những hình thức vận động này hỗ trợ giảm mỡ gan, tăng lưu thông máu đến gan và kiểm soát cân nặng hiệu quả. Ngược lại, bạn cần tránh những hoạt động quá sức như mang vác vật nặng, tập luyện cường độ cao vì khiến cơ thể mệt mỏi, suy nhược nghiêm trọng hơn.
Tăng men gan có thể ảnh hưởng đến sinh sản, nhất là khi liên quan đến viêm gan, xơ gan. Vì những tình trạng này gây rối loạn nội tiết tố, gồm testosterone và estrogen, dẫn đến giảm ham muốn, rối loạn cương, giảm chất lượng tinh trùng, cản trở sự hình thành phôi trong giai đoạn đầu sau thụ tinh. Tất cả đều làm tăng nguy cơ vô sinh ở người bệnh.
Ngoài ra, ung thư gan không trực tiếp gây vô sinh, nhưng các phương pháp điều trị như hóa trị, xạ trị có thể tác động tiêu cực đến khả năng sinh sản.
Men gan tăng cao kéo dài có thể là dấu hiệu của nhiều bệnh lý, kể cả ung thư gan. Tuy nhiên, để được chẩn đoán chính xác, bạn cần thăm khám để thực hiện thêm các xét nghiệm chuyên sâu như siêu âm ổ bụng, CT, MRI, sinh thiết gan.
Tùy nguyên nhân, men gan cao có thể tạm thời hoặc kéo dài. Bên cạnh các biện pháp khắc phục đã chia sẻ, bạn nên bổ sung tinh chất hỗ trợ chức năng gan như Wasabia, S.Marianum. Sự kết hợp của hai thành phần này giúp kiểm soát hoạt động của tế bào Kupffer, hạn chế hình thành chất gây viêm, tăng thải độc, làm chậm xơ hóa và hạ men gan hiệu quả.