Khi siêu âm thấy tuyến tiền liệt hồi âm không đều đã gợi ý có vấn đề nào đó xảy ra ở tuyến này, cần phải thực hiện thêm một số xét nghiệm khác để chẩn đoán. Cụ thể tuyến tiền liệt hồi âm không đồng đều là gì? Hãy cùng ECO Pharma tìm hiểu trong bài viết sau đây.

Tuyến tiền liệt hồi âm không đồng đều là thuật ngữ mô tả sự phản hồi không đều của mô tuyến tiền liệt trong quá trình siêu âm hoặc chẩn đoán hình ảnh. Điều này có thể biểu hiện qua sự khác biệt về mật độ âm thanh trong mô tuyến tiền liệt như tăng âm (hyperechoic), giảm âm (hypoechoic), đẳng âm (isoechoic) và hỗn hợp âm (mixed-echoic). Dựa vào đó, các bác sĩ sẽ chỉ định người bệnh thực hiện thêm một số các xét nghiệm cận lâm sàng nhằm chẩn đoán bệnh.
Siêu âm tuyến tiền liệt thực hiện qua ngả trực tràng. Bằng cách đưa đầu dò vào trực tràng, các sóng siêu âm sẽ tạo ra hình ảnh chi tiết về tuyến tiền liệt và các mô xung quanh để bác sĩ có thể nhìn rõ trên màn hình máy vi tính. Siêu âm thường được chỉ định để đánh giá kích thước và cấu trúc tuyến tiền liệt. Hoặc phát hiện các bất thường như viêm tuyến tiền liệt, u xơ tuyến tiền liệt, ung thư tuyến tiền liệt. Siêu âm cũng hỗ trợ sinh thiết nếu nghi ngờ có tổn thương ác tính ở tuyến tiền liệt. (1)
Tuyến tiền liệt nằm giữa cổ bàng quang và cơ hoành niệu sinh dục, ngay phía trước trực tràng. Nó thường được mô tả dựa trên cấu trúc vùng theo mô bệnh học, bao gồm mô đệm cơ sợi phía trước (anterior fibromuscular stroma), vùng chuyển tiếp (transition zone), vùng trung tâm (central zone), vùng quanh niệu đạo (periurethral zone) và vùng ngoại vi (peripheral zone). Tuyến tiền liệt được chia thành đỉnh (apex) và đáy (base), trong đó đáy hướng lên bờ dưới của bàng quang. Kích thước bình thường của tuyến tiền liệt vào khoảng 3 × 3 × 5 cm hoặc có thể tích khoảng 25 ml.
Tuyến tiền liệt chức năng hồi âm không đồng đều trên siêu âm là dấu hiệu cho thấy sự thay đổi về cấu trúc mô tuyến và có liên quan đến một số tình trạng bệnh lý. Dưới đây là những nguyên nhân chính dẫn đến hiện tượng này:
Viêm tuyến tiền liệt, cho dù ở dạng cấp tính hay mạn tính đều có thể gây viêm và làm thay đổi cấu trúc tuyến tiền liệt, dẫn đến hiện tượng hồi âm không đồng đều trên siêu âm. Sự xâm nhập của các tế bào viêm có thể được quan sát thấy ở phần trung tâm của tuyến tiền liệt, trong khi một viền giảm âm (ít phản âm hơn) có thể cho thấy mức độ xâm nhập thưa thớt. (2)
Khi siêu âm, cấu trúc tuyến tiền liệt hồi âm không đồng đều kèm theo tăng tưới máu.

Tăng sinh lành tính tuyến tiền liệt, hay còn được gọi là phì đại lành tính tuyến tiền liệt. Đây là tình trạng tuyến tiền liệt phát triển lớn hơn bình thường, nhưng không phải do ung thư.
Trong giai đoạn sớm, hình ảnh siêu âm cho thấy các nhân tăng sản xuất hiện dưới dạng những cấu trúc giảm âm nhỏ, tập trung chủ yếu trong vùng chuyển tiếp của tuyến tiền liệt. Khi bệnh tiến triển, các nhân này có xu hướng phát triển cả về kích thước và số lượng, đặc biệt là theo hướng trước – sau, đẩy vào lòng bàng quang. Điều này khiến toàn bộ tuyến tiền liệt bị phì đại, làm mất đi hình dạng trăng lưỡi liềm trên mặt cắt ngang và thay vào đó là hình tròn.
Sự gia tăng kích thước của tuyến tiền liệt tạo áp lực chèn ép vùng tuyến ngoài (bao gồm vùng trung tâm và vùng ngoại vi). Tại ranh giới giữa phần tuyến bị chèn ép này, xuất hiện một đường viền có độ hồi âm rất giảm, được gọi là bao phẫu thuật. Đồng thời, các nhân tăng sản cũng trở nên không đồng nhất về mặt cấu trúc hồi âm.
Áp xe tuyến tiền liệt là tình trạng hình thành ổ mủ ở vùng tuyến tiền liệt. Đây là biến chứng của viêm tuyến tiền liệt do vi khuẩn cấp tính.
Hình ảnh siêu âm áp xe tuyến tiền liệt cho thấy một cấu trúc có ranh giới rõ ràng, được bao bọc bởi một vỏ, bên trong chứa dịch có đặc tính trống âm hoặc giảm âm. Khi ổ áp xe phát triển lớn, nó có thể làm thay đổi cấu trúc giải phẫu của tuyến tiền liệt. Trong trường hợp mạn tính, nhu mô vùng ngoại vi trở nên không đồng nhất về hồi âm và thường xuất hiện nhiều nốt vôi hóa nhỏ rải rác.
Nang tuyến tiền liệt có thể gây ra hình ảnh hồi âm không đồng nhất trên siêu âm do sự hiện diện của các cấu trúc chứa dịch bên trong mô tuyến tiền liệt. Những nang này tạo ra sự khác biệt về mật độ và cấu trúc mô, dẫn đến hình ảnh siêu âm không đồng nhất.
Cụ thể, các nang chứa dịch thường xuất hiện như các vùng trống âm hoặc giảm âm, trong khi mô tuyến tiền liệt bình thường có thể có hồi âm đồng nhất hơn. Sự kết hợp của các vùng trống âm và mô bình thường tạo nên hình ảnh hồi âm không đồng nhất trên siêu âm.

Vôi hóa tuyến tiền liệt là tình trạng hình thành các lắng đọng canxi trong nhu mô tuyến tiền liệt, thường gặp ở nam giới trung niên. Dưới siêu âm qua ngả trực tràng, phần lớn các vôi hóa này xuất hiện dưới dạng cấu trúc tăng âm không rõ ràng hoặc vô định hình.
Hồi âm không đồng đều của tuyến tiền liệt trên siêu âm không chỉ do bệnh lý mà còn có thể xuất phát từ các yếu tố sinh lý hoặc thay đổi tự nhiên theo tuổi tác.
Dưới đây là một số nguyên nhân sinh lý chính:
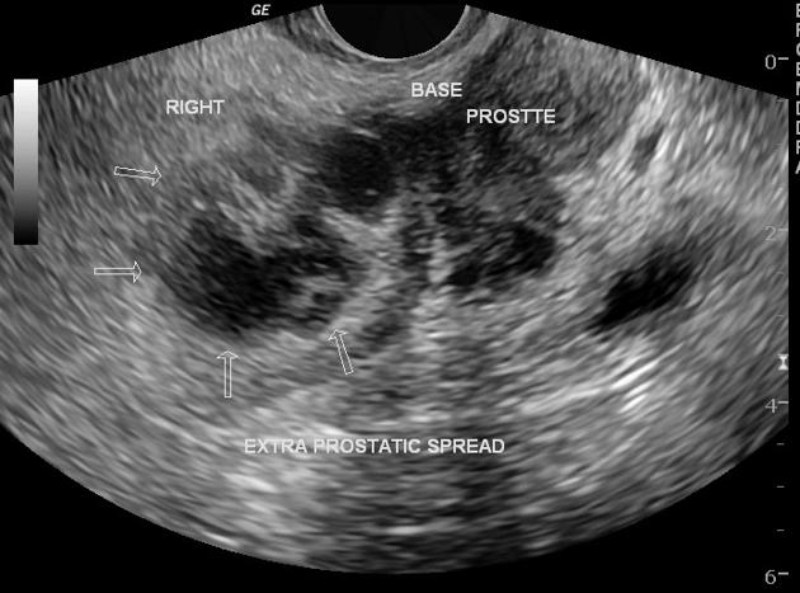
Ung thư tuyến tiền liệt cũng có thể biểu hiện dưới dạng mô tuyến có hồi âm không đồng đều, đặc biệt ở vùng ngoại vi (phần ngoài của tuyến). Sự phát triển ác tính của các tế bào tuyến tiền liệt có thể xuất hiện dưới dạng vùng giảm âm (tối hơn) hoặc đẳng âm (có hồi âm tương tự mô xung quanh), khiến việc nhận diện trở nên khó khăn. (3)
Siêu âm Doppler máu cho thấy lưu lượng máu tăng cũng có thể liên quan đến ung thư tuyến tiền liệt.

Việc phát hiện tình trạng tuyến tiền liệt hồi âm không đều trong quá trình siêu âm không đồng nghĩa với việc người bệnh đang mắc bệnh nghiêm trọng về tuyến tiền liệt nhưng cũng không nên bỏ qua dấu hiệu này. Tuyến tiền liệt hồi âm không đồng đều có thể do nhiều nguyên nhân lành tính như phì đại lành tính tuyến tiền liệt, viêm tuyến tiền liệt, nang tuyến tiền liệt, vôi hóa tuyến tiền liệt hoặc do nguyên nhân sinh lý. Nhưng trong một số trường hợp, đây là dấu hiệu của ung thư tuyến tiền liệt.
Như đã nói ở trên, tiền liệt tuyến hồi âm không đều là một gợi ý trên hình ảnh rằng có thể đã có vấn đề nào đó không ổn ở tuyến tiền liệt. Và có thể xem đó là một đề xuất cần phải thực hiện thêm các xét nghiệm tiếp theo để chẩn đoán nguyên nhân cụ thể.
Thông thường khi siêu âm cho hình ảnh về tiền liệt tuyến hồi âm không đều, các bác sĩ sẽ tự động cho thực hiện các xét nghiệm mà họ nghĩ là cần thiết.
Ví dụ như xét nghiệm máu để kiểm tra chỉ số PSA (Prostate-Specific Antigen). Chỉ số này giúp bác sĩ đánh giá khả năng có ung thư tuyến tiền liệt hoặc các vấn đề khác liên quan hay không. Nếu có, các xét nghiệm hình ảnh bổ sung sẽ được thực hiện tiếp. Ví dụ như chụp MRI để có hình ảnh chi tiết hơn về cấu trúc tuyến và phát hiện các bất thường mà siêu âm không thể hiện rõ. Hoặc sinh thiết tuyến tiền liệt để xác định tính chất của mô tuyến tiền liệt trong trường hợp nghi ngờ ung thư hoặc các bất thường nghiêm trọng.

Nếu siêu âm chỉ dừng lại ở kết quả tuyến tiền liệt hồi âm không đồng đều thì chưa đủ cơ sở để thực hiện bất kỳ một loại điều trị nào.
Ở phương diện bệnh nhân, ngay cả khi không muốn điều trị với bác sĩ thì khi nhận được kết quả này bạn vẫn cần phải thực hiện tiếp các xét nghiệm khác theo chỉ định để tìm nguyên nhân cụ thể. Biết được cụ thể là bệnh gì bạn mới có thể tìm thầy, tìm thuốc để chữa trị.
Ở phương diện bác sĩ, khi kết quả siêu âm của bệnh nhân là tuyến tiền liệt hồi âm không đồng đều, bác sĩ sẽ tiếp tục cho thực hiện thêm các xét nghiệm cần thiết khác để chẩn đoán.
Sau khi chẩn đoán cụ thể nguyên nhân là gì bác sĩ mới đưa ra chỉ định điều trị, dùng thuốc, phẫu thuật, kết hợp, điều trị bổ trợ hay kết hợp giữa chúng với nhau.
Ví dụ nếu tuyến tiền liệt hồi âm không đồng đều được chẩn đoán là do bị viêm tuyến tiền liệt, phì đại lành tính tuyến tiền liệt, áp xe tuyến tiền liệt, ung thư tuyến tiền liệt điều trị ban đầu có thể dùng thuốc. Viêm tuyến tiền liệt thường dùng thuốc kháng sinh, thuốc chẹn alpha, thuốc giảm đau hoặc acetaminophen, ibuprofen. Nhưng cụ thể dùng loại thuốc nào trong số này còn tùy thuộc vào loại viêm.
Phì đại tuyến tiền liệt thì dùng thuốc ức chế 5-alpha-reductase, thuốc chẹn alpha-adrenergic, thuốc ức chế phosphodiesterase-5. Áp xe tuyến tiền liệt thì dùng thuốc kháng sinh, nhóm thuốc carbapenem. Ung thư tuyến tiền liệt dùng nhóm thuốc hóa trị, xạ trị như abiraterone acetate, docetaxel, olaparib, radium 223 dichloride.
Nếu bệnh không đáp ứng tốt với thuốc thì cần can thiệp ngoại khoa. Phẫu thuật cần thiết cho những trường hợp bị rối loạn cương dương, xuất tinh ngược, phì đại tuyến tiền liệt hơn 80g có nguy cơ biến chứng cao.
Các phẫu thuật phổ biến gồm nội soi cắt tuyến tiền liệt qua niệu đạo (TURP), cắt tuyến tiền liệt mở, phẫu thuật bằng laser (HoLEP, ThuLEP, PVP) ít xâm lấn, cấy ghim tuyến tiền liệt (UroLift), liệu pháp nhiệt (TUMT, TUNA, Rezum), chọc hút bằng kim qua trực tràng, mở nang tuyến tiền liệt, tiêu hủy u xơ bằng kim qua đường niệu đạo (TUNA), cắt u xơ tiền liệt tuyến bằng laser. Tùy từng trường hợp bệnh tuyến tiền liệt cụ thể mà áp dụng phương pháp phẫu thuật phù hợp.
Ngoài ra, một số loại điều trị bổ trợ có thể cần thiết để làm giảm các triệu chứng và cải thiện chất lượng sống cho nam giới mà không cần dùng thuốc. Một số liệu pháp như tập kegel, xoa bóp cơ thể, điều trị nhiệt, châm cứu, biofeedback.
Bởi vì siêu âm thấy tuyến tiền liệt hồi âm không đồng đều gợi ý đến tuyến tiền liệt có thể mắc phải bệnh gì đó. Vì vậy việc phòng ngừa là cần tập trung vào việc nâng cao sức khỏe tuyến này để tránh bị mắc bệnh.
Biện pháp cần thiết đầu tiên là duy trì chế độ dinh dưỡng lành mạnh. Bao gồm bổ sung đa dạng các loại rau củ, đặc biệt là loại giàu lycopene – một chất chống oxy hóa có khả năng làm chậm sự phát triển của tế bào ung thư tuyến tiền liệt (như cà chua nấu chín hoặc chế biến sẵn). Hoặc sulforaphane – một chất có khả năng bảo vệ cơ thể khỏi ung thư (có nhiều trong các loại rau họ cải như bông cải xanh và súp lơ trắng).
Trà xanh và đậu nành cũng rất tốt cho tuyến tiền liệt vì giúp giảm mức PSA (kháng nguyên đặc hiệu của tuyến tiền liệt) và ngăn ngừa ung thư tuyến tiền liệt. Bên cạnh đó, nam giới nên giảm lượng ăn chất béo chuyển hóa (trans fat) và chất béo bão hòa, thay bằng chất béo lành mạnh như axit béo omega-3 (thường có trong hạt, các loại đậu và cá).
Biện pháp thứ hai là cần phải kiểm soát cân nặng để giảm nguy cơ mắc ung thư tuyến tiền liệt. Bởi vì béo phì đã được chứng minh là một trong các yếu tố nguy cơ của ung thư tuyến tiền liệt. Kiểm soát cân nặng bằng chế độ ăn uống khoa học như đã nếu ở trên và vận động hàng ngày. Vận động cần thiết để tuần hoàn máu tốt, duy trì cân nặng khỏe mạnh, tăng cơ và tăng cường hệ miễn dịch chống lại các yếu tố gây ra bệnh tật.
Biện pháp thứ ba là cần vệ sinh sạch sẽ vùng kín hàng ngày, đặc biệt là sau mỗi lần quan hệ tình dục để ngăn ngừa viêm niệu đạo dẫn đến viêm tuyến tiền liệt.
Biện pháp thứ tư là nên hoạt động tình dục lành mạnh và đều đặn hàng tuần, hàng tháng (tuỳ theo độ tuổi). Bởi vì tần suất xuất tinh nhiều thì sẽ giảm được nguy cơ mắc các vấn đề về tuyến tiền liệt. Xuất tinh giúp loại bỏ độc tố và các chất có thể gây viêm trong cơ thể. Nam giới cần quan hệ tình dục an toàn bằng cách sử dụng bao cao su, chỉ quan hệ với một bạn tình để tránh lây nhiễm các bệnh lây truyền qua đường tình dục dẫn đến viêm tuyến tiền liệt.
Cuối cùng, khi mà tuổi tác tăng dần, bổ sung dưỡng chất tốt cho tuyến tiền liệt như tinh chất Pygeum Africanum, Saw Palmetto, Crataeva Nurvala, Nettle Root, Lindera Aggregata và Horsetail có thể cần thiết. Nhóm tinh chất này đã được chứng minh giúp cải thiện các vấn đề liên quan đến tuyến tiền liệt và rối loạn tiểu tiện. Chúng hỗ trợ ngăn ngừa hoặc làm chậm sự phát triển của phì đại lành tính tuyến tiền liệt cũng như cải thiện chất lượng sống và nâng cao sức khỏe cho nam giới.

Tuyến tiền liệt hồi âm không đồng đều là tình trạng bất thường về đặc tính hồi âm của nhu mô tuyến tiền liệt trên hình ảnh siêu âm. Tình trạng này gợi ý đến các vấn đề ở tuyến tiền liệt như viêm tuyến tiền liệt, phì đại tuyến tiền liệt hoặc thậm chí là ung thư tuyến tiền liệt.
Khi siêu âm có kết quả này, nam giới không nên lo lắng, hãy bình tĩnh thực hiện các xét nghiệm tiếp theo theo chỉ định của bác sĩ. Không nên bỏ dở cuộc thăm khám giữa chừng vì chỉ có hình ảnh tuyến tiền liệt hồi âm không đồng đều sẽ không thể cho biết cụ thể là bệnh gì để điều trị trúng đích.